黃色肉芽肿性肾盂肾炎流行病学、临床表现、病理及影像学表现.docx

上传人:p** 文档编号:1038204 上传时间:2024-06-15 格式:DOCX 页数:6 大小:303.97KB
下载 相关 举报
黃色肉芽肿性肾盂肾炎流行病学、临床表现、病理及影像学表现.docx_第1页
第1页 / 共6页
黃色肉芽肿性肾盂肾炎流行病学、临床表现、病理及影像学表现.docx_第2页
第2页 / 共6页
黃色肉芽肿性肾盂肾炎流行病学、临床表现、病理及影像学表现.docx_第3页
第3页 / 共6页
黃色肉芽肿性肾盂肾炎流行病学、临床表现、病理及影像学表现.docx_第4页
第4页 / 共6页
黃色肉芽肿性肾盂肾炎流行病学、临床表现、病理及影像学表现.docx_第5页
第5页 / 共6页
黃色肉芽肿性肾盂肾炎流行病学、临床表现、病理及影像学表现.docx_第6页
第6页 / 共6页
亲,该文档总共6页,全部预览完了,如果喜欢就下载吧!
资源描述

《黃色肉芽肿性肾盂肾炎流行病学、临床表现、病理及影像学表现.docx》由会员分享,可在线阅读,更多相关《黃色肉芽肿性肾盂肾炎流行病学、临床表现、病理及影像学表现.docx(6页珍藏版)》请在第壹文秘上搜索。

1、黄色肉芽肿性肾盂肾炎流行病学、临床表现、病理及影像学表现XGP是一种少见的肾脏特异性感染,约占所有肾脏感染的0.6%1.4%,其主要病理改变为肾实质进行性破坏和脂质成分释放,后者为巨噬细胞所吞噬。XGP是一种慢性肾盂肾炎,代表一种慢性肉芽肿性疾病,导致肾功能不良,影像表现有一定特异性。流行病学见于所有年龄组,但最常见于中年至老年患者。女性多见(2:1),可能与尿路感染发病率的增加和鹿角形结石的发生有关。糖尿病患者的发病率也有所增加。临床表现体重减轻和低烧等全身症状,有时有血尿和腰痛。尽管经常没有尿路症状,但大多数病例存在脓尿和尿培养阳性(分别为95%和60%)o病理黄色肉芽肿性肾盂肾炎是一种慢

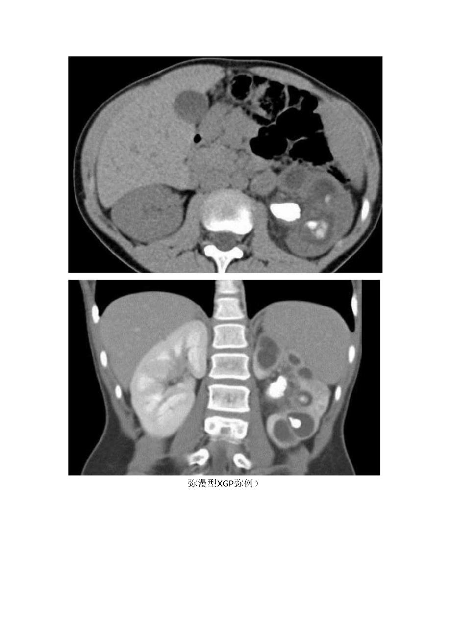
2、性肉芽肿过程,被认为是亚急性/慢性感染导致慢性但不完全免疫反应的结果。可培养出各种细菌,最常见的是大肠杆菌和奇异变形杆菌。肾脏最终被大量反应性组织取代,伴有不同程度的肾积水,其环绕在鹿角形结石(90%可见)周围。镜下可见大量泡沫(含脂质)巨噬细胞。炎症过程最终可延伸至肾周围组织,甚至邻近器官。基于相邻组织的受累程度,可分为3期:1期:病变仅局限于肾实质。2期:累及肾实质并延伸至肾周脂肪。3期:病变累及肾周和肾旁间隙或腹膜后。XGP根据病变范围分为弥漫型(9096)和局限型(1096)。前者CT表现为:1、肾实质内多发囊性占位,多以肾盂肾盏为中心,其中部分为结石梗阻所致的肾积水,部分为黄色肉芽肿

3、的脓腔。2、集合系统结石。3、肾皮质变薄。4、肾窦脂肪组织减少,多为慢性炎性反应性纤维组织增生所替代。5、肾周筋膜增厚、肾周间隙渗出积液,严重时可形成脓肿累及腰大肌。后者则表现为囊实性占位,增强后实性部分强化明显,邻近集合系统内可见结石。弥漫型XGP弥例)大体病理标本:扩张的肾盂充满大量脓液。清洗标本后,扩张的肾盏和肾盂壁增厚,有多发黄色结节。大部分肾皮质萎缩。镜下病理:黄色结节部分的切片可见泡沫状组织细胞、少量多核巨细胞和炎性细胞代替肾实质不具备典型影像表现时需与以下病变相鉴别:1、肾结核:肾集合系统狭窄与扩张并存,钙化多时表现为肾自截。2、肾脓肿。3、肾细胞癌(RCC)o4、血管平滑肌脂肪瘤(AM1.)。肾自截肾脓肿

展开阅读全文
相关资源
猜你喜欢
相关搜索

当前位置:首页 > 高等教育 > 大学课件

copyright@ 2008-2023 1wenmi网站版权所有

经营许可证编号:宁ICP备2022001189号-1

本站为文档C2C交易模式,即用户上传的文档直接被用户下载,本站只是中间服务平台,本站所有文档下载所得的收益归上传人(含作者)所有。第壹文秘仅提供信息存储空间,仅对用户上传内容的表现方式做保护处理,对上载内容本身不做任何修改或编辑。若文档所含内容侵犯了您的版权或隐私,请立即通知第壹文秘网,我们立即给予删除!