临床执业第三站 技能模拟第一套试题.docx

上传人:p** 文档编号:1057426 上传时间:2024-06-29 格式:DOCX 页数:6 大小:119.61KB
下载 相关 举报
临床执业第三站 技能模拟第一套试题.docx_第1页
第1页 / 共6页
临床执业第三站 技能模拟第一套试题.docx_第2页
第2页 / 共6页
临床执业第三站 技能模拟第一套试题.docx_第3页
第3页 / 共6页
临床执业第三站 技能模拟第一套试题.docx_第4页
第4页 / 共6页
临床执业第三站 技能模拟第一套试题.docx_第5页
第5页 / 共6页
临床执业第三站 技能模拟第一套试题.docx_第6页
第6页 / 共6页
亲,该文档总共6页,全部预览完了,如果喜欢就下载吧!
资源描述

《临床执业第三站 技能模拟第一套试题.docx》由会员分享,可在线阅读,更多相关《临床执业第三站 技能模拟第一套试题.docx(6页珍藏版)》请在第壹文秘上搜索。

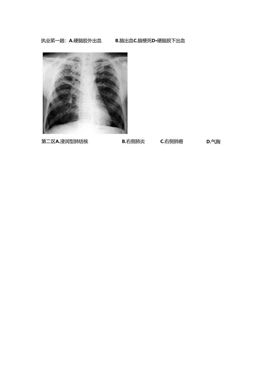
2015技能模拟临床执业第一套第三站试题卡第三站计算机多媒体考试心肺听诊(兄录青文件111-2)I.肺部听诊C胸膜摩擦音B.舒张中期春马律D.舒张早期奔马律D.干罗音A.*鼻音H.水泡音2.心脏听诊A.舒张期隆隆样杂音C.舒张晚期奔马律二)Xac执业笫一趟:A.硬脑胶外出血B.脑出血C.脑梗死D硬脑脱下出血第二区A.浸润型肺结核B.右侧肺炎C.右侧肺癌D.气胸第一:国:A.开结肠鹿B.横结肠癌C,降结肠宸D.直肠痛(三)心电图第题.诉性期前收缩B.:废I型居室传峥阻滞C.Ji(II型房室传导阻滞D.三度房室传导阻滞第二期A.正常心电图C.下壁心肌梗死B.左心室肥厚D.心肌缺血(四)医德医风患者,男性,6()岁.发现自己的尿液为红色来院就诊,医生羟过问诊后安排尿液化验.但是.患者就诊前担心自己的病怙严重,副间过有关医学的籍,担心自己患有泌尿系肿痛,询问医生精情严重程度,面对患齐的询问,作为他的主治医师,您应该怎样回答该患者?A.实话实说.诚实的面对患者.让患者接受现实.B.先安慰强齐.稔定患荷情绪.然后把实情告诉患者家属,针对患齐病情通知上级医生.C.在SJ者面前保持沉蚊,把检住结果只告诉患者家属.D.向患者I瞒病情,知为一微炎症导致.

展开阅读全文
相关资源
猜你喜欢
相关搜索

当前位置:首页 > 资格/认证考试 > 医师/药师资格考试

copyright@ 2008-2023 1wenmi网站版权所有

经营许可证编号:宁ICP备2022001189号-1

本站为文档C2C交易模式,即用户上传的文档直接被用户下载,本站只是中间服务平台,本站所有文档下载所得的收益归上传人(含作者)所有。第壹文秘仅提供信息存储空间,仅对用户上传内容的表现方式做保护处理,对上载内容本身不做任何修改或编辑。若文档所含内容侵犯了您的版权或隐私,请立即通知第壹文秘网,我们立即给予删除!