临床Chilaiditi征病理、临床表现、影像表现、鉴别诊断及典型图像.docx

上传人:p** 文档编号:1107022 上传时间:2024-07-25 格式:DOCX 页数:4 大小:173.59KB
下载 相关 举报
临床Chilaiditi征病理、临床表现、影像表现、鉴别诊断及典型图像.docx_第1页
第1页 / 共4页
临床Chilaiditi征病理、临床表现、影像表现、鉴别诊断及典型图像.docx_第2页
第2页 / 共4页
临床Chilaiditi征病理、临床表现、影像表现、鉴别诊断及典型图像.docx_第3页
第3页 / 共4页
临床Chilaiditi征病理、临床表现、影像表现、鉴别诊断及典型图像.docx_第4页
第4页 / 共4页
亲,该文档总共4页,全部预览完了,如果喜欢就下载吧!
资源描述

《临床Chilaiditi征病理、临床表现、影像表现、鉴别诊断及典型图像.docx》由会员分享,可在线阅读,更多相关《临床Chilaiditi征病理、临床表现、影像表现、鉴别诊断及典型图像.docx(4页珍藏版)》请在第壹文秘上搜索。

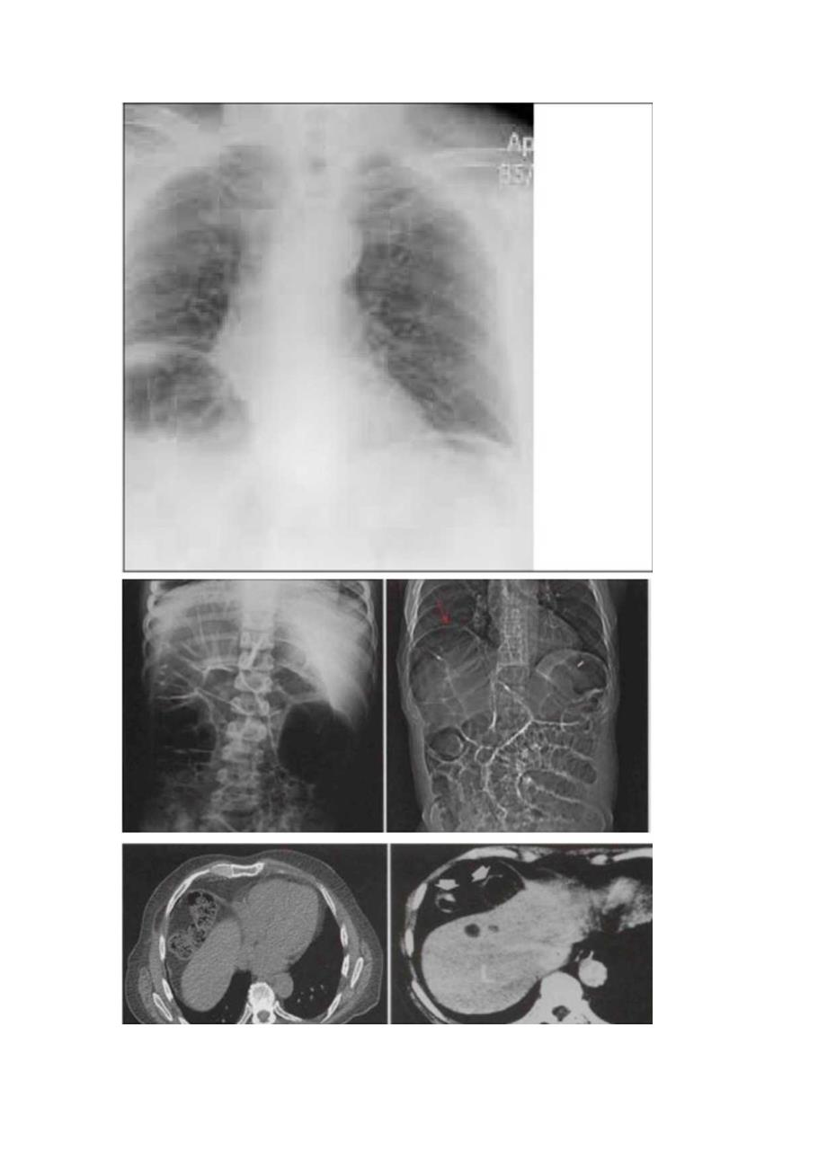
1、临床Chi1.aiditi征病理、临床表现、影像表现、鉴别诊断及典型图像Chi1.aiditi征是指结肠(多为肝曲)由肝前间隙或肝后间隙进入肝与膈之间。在引起腹部或胸部症状时(右季肋部隐痛、腹胀甚至消化道梗阻)称为ChiIaiditi综合征(Chi1.aiditisyndrome),或间位结肠综合征或游走肝综合征。1910年由希腊放射学家DemetriUSChi1.aiditi首次在报道。发表机制:其原因并非结肠本身,肝卜.垂和结肠位置异常是形成本病的基础。肝的韧带过长、薄弱、缺无等发育异常使肝下移,肝膈间隙增宽,以致结肠嵌入其间,形成此病;膈肌的先天薄弱或膈肌麻痹为本病的促发因素:此外在部分

2、肝硬化患者中因肝右叶萎缩明显,肝膈间隙增大也可见此症。国外报道该病的发病率为0.02%0.2%o临床表现:平时常无症状,部分可表现为上腹不适,轻度腹胀,以餐后右上腹最明显。当嵌入的结肠发生梗阻时,常感到上腹突发张痛难忍,并有憋气感及后背放射痛:经数小时至数日症状消失,而且大多于活动后突然消失疾病人群分布。中老年患者,尤其50s60岁多见。男女比例约为4:1。若非恶性肿瘤所致,预后良好治疗。对部分症状较重,并呈进行性、持续性加重,尤其在儿童时期症状严重,影响食欲,妨碍生长发育者,可考虑外科根治性手术治疗,固定肝和结肠,预后较好。症状轻者可不必治疗,经卧床休息,避免在食管中产气等,则大部分自行缓解。影像表现I右膈下袋状气体密度影及环状黏膜皱裳影,随体位改变其位置无变化。若X线平片诊断有疑问,CT可确诊。鉴别诊断:需与消化道穿孔致膈下游离气体相鉴别;前者膈下气体透光区有一光滑边界(肠管壁),可见结肠皱裳,相对应肝表面有局部弧形压迹,改变体位图象改变不大,临床上无急性腹膜炎体征。后者为膈下半月形透光影,肝表面无压迹,体位变动可使膈下透光区改变,临床上多有急性弥漫腹膜炎体征。典型图像

展开阅读全文
相关资源
猜你喜欢
相关搜索

当前位置:首页 > 高等教育 > 大学课件

copyright@ 2008-2023 1wenmi网站版权所有

经营许可证编号:宁ICP备2022001189号-1

本站为文档C2C交易模式,即用户上传的文档直接被用户下载,本站只是中间服务平台,本站所有文档下载所得的收益归上传人(含作者)所有。第壹文秘仅提供信息存储空间,仅对用户上传内容的表现方式做保护处理,对上载内容本身不做任何修改或编辑。若文档所含内容侵犯了您的版权或隐私,请立即通知第壹文秘网,我们立即给予删除!