临床蝙蝠翼样肺部影临床表现、常见疾病及鉴别诊断.docx

上传人:p** 文档编号:1107399 上传时间:2024-07-25 格式:DOCX 页数:7 大小:201.31KB
下载 相关 举报
临床蝙蝠翼样肺部影临床表现、常见疾病及鉴别诊断.docx_第1页
第1页 / 共7页
临床蝙蝠翼样肺部影临床表现、常见疾病及鉴别诊断.docx_第2页
第2页 / 共7页
临床蝙蝠翼样肺部影临床表现、常见疾病及鉴别诊断.docx_第3页
第3页 / 共7页
临床蝙蝠翼样肺部影临床表现、常见疾病及鉴别诊断.docx_第4页
第4页 / 共7页
临床蝙蝠翼样肺部影临床表现、常见疾病及鉴别诊断.docx_第5页
第5页 / 共7页
临床蝙蝠翼样肺部影临床表现、常见疾病及鉴别诊断.docx_第6页
第6页 / 共7页
临床蝙蝠翼样肺部影临床表现、常见疾病及鉴别诊断.docx_第7页
第7页 / 共7页
亲,该文档总共7页,全部预览完了,如果喜欢就下载吧!
资源描述

《临床蝙蝠翼样肺部影临床表现、常见疾病及鉴别诊断.docx》由会员分享,可在线阅读,更多相关《临床蝙蝠翼样肺部影临床表现、常见疾病及鉴别诊断.docx(7页珍藏版)》请在第壹文秘上搜索。

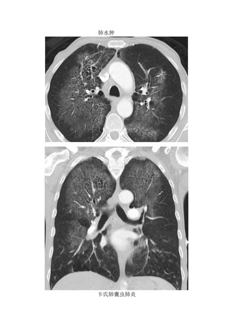
1、临床蝙蝠翼样肺部影临床表现、常见疾病及鉴别诊断蝙蝠翼征或蝶翼征蝙蝠翼样肺部影是指双侧肺门周围的阴影.通常在正位胸片上用来描述相关表现,也可指胸部CT上的表现。鉴别诊断:蝙蝠翼样肺部账可由以下原因引起:1、肺水肿(尤其是心源性);2、肺炎:吸入性肺炎、卡氏肺囊虫肺炎(PCP)、病毒性肺炎、脂质性肺炎;3、吸入性损伤:有毒气体、液体:4、肺泡蛋白沉积症;5、肺出血(如GOodPaStUre综合征):6、淋巴痛/白血病;7、支气管肺泡癌.肺水肿卡氏肺囊虫肺炎鉴别诊断常见流体静力性肺水肿肺炎不常见 肺损伤 肺出血罕见(但重要) 肺泡蛋白沉着症I-信息鉴别诊断要点 经典描述于正位X线胸片,尽管也见于CT

2、 双侧肺门周围阴影,外周肺组织相对正常 临床资料是诊断的关键常见诊断的有用线索 流体静力性肺水肿。常由于肺静脉压增高最常见原因包括左侧心力衰竭和容上负荷过度同质性水肿:KerIey线.支气管周围袖套征.肺门周存状阴影实质性水肿:斑片状或弥漫性实质阴影,可呈蝙蝠翼样水肿中央分布可能是由于水肿起病迅速而外周肺组肺炎见于细菌性和非典型性病原菌所致病变。致密实变。可见支鼻管充气征不常见诊断的有用线索肺损伤违禁药品(精制可卡因),近乎淹溺,烟雾吸入.败血症等原因肺泡毛细血管界面的破裂导致非心源性肺水肿G弥漫性肺泡损伤肺出血。原因众多,X线片上表现可相似斑片状或弥漫件磨;玻影或实变,常呈中央分布可表现为边

3、界不清的小叶中心型结王,尤其在罕见诊断的有用线索肺泡蛋白沉着症C多数病例为特发性肺实质充满蛋白质样物质;间质增厚CHRCT上表现为铺路石征急性间质性肺炎特发性疾病,导致弥漫性肺泡受损C伴有病毒前驱症状乂称HammanRich综合征(左)正位X线胸片示急性肺水肿的典型X线特征.表现为蝙蝠翼样实变。病因为急性充血性左侧心力衰竭(右)正位X线胸片示双侧中央性肺实变,以左侧为甚。经证实该免疫受损患者患有(左)正位X线片示吸食可K因所致的双侧中央型肺水肿,呈蝙蛆翼样分布=(右)淹遨史患者。正位X线片示双侧中央型肺实变=o肺部损伤导致非心源性肺水肿。注意其与其他原因所致的中央型肺实变的表现相似,应重视临床病史(左)横断位增强CT示书格纳肉芽肿病的一种变异表现,双侧肺出血以蟾蝠翼样分布同时注意左肺下叶铺路石征(右)横断位平扫CT示双侧中央型致密实变向I。此为肺出血患者,血液从气管插管内吸出,是诊断的重:要(左)横断位平扫CT示双肺磨玻璃影伴间质性间隔增厚,称为铺路石征。注意其以中央性分布为主征象无特异性,但在适当的临床表现下,其符合肺泡蛋白沉着症表现(右)冠状位平扫CT示双侧广泛磨玻璃影巨,外周正常,呈地图样。此为典型的急性间质性肺炎表现

展开阅读全文
相关资源
猜你喜欢
相关搜索

当前位置:首页 > 高等教育 > 大学课件

copyright@ 2008-2023 1wenmi网站版权所有

经营许可证编号:宁ICP备2022001189号-1

本站为文档C2C交易模式,即用户上传的文档直接被用户下载,本站只是中间服务平台,本站所有文档下载所得的收益归上传人(含作者)所有。第壹文秘仅提供信息存储空间,仅对用户上传内容的表现方式做保护处理,对上载内容本身不做任何修改或编辑。若文档所含内容侵犯了您的版权或隐私,请立即通知第壹文秘网,我们立即给予删除!