临床喉部详细解剖及颈部间隙详解.docx

上传人:p** 文档编号:1195937 上传时间:2024-11-24 格式:DOCX 页数:5 大小:269.66KB
下载 相关 举报
临床喉部详细解剖及颈部间隙详解.docx_第1页
第1页 / 共5页
临床喉部详细解剖及颈部间隙详解.docx_第2页
第2页 / 共5页
临床喉部详细解剖及颈部间隙详解.docx_第3页
第3页 / 共5页
临床喉部详细解剖及颈部间隙详解.docx_第4页
第4页 / 共5页
临床喉部详细解剖及颈部间隙详解.docx_第5页
第5页 / 共5页
亲,该文档总共5页,全部预览完了,如果喜欢就下载吧!
资源描述

《临床喉部详细解剖及颈部间隙详解.docx》由会员分享,可在线阅读,更多相关《临床喉部详细解剖及颈部间隙详解.docx(5页珍藏版)》请在第壹文秘上搜索。

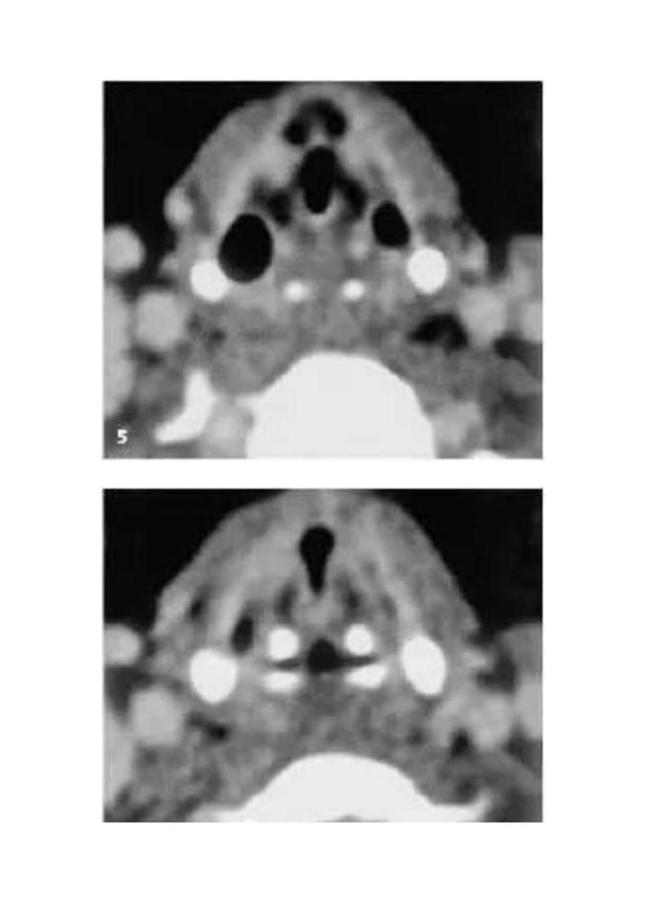
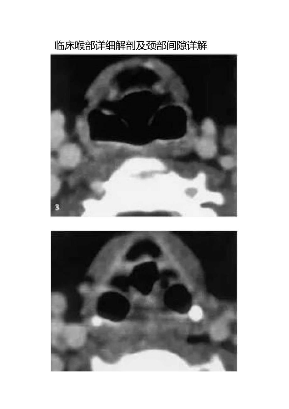
临床喉部详细解剖及颈部间隙详解舌骨卜肌群(胸骨甲状肌,肩胛舌骨肌,甲状舌骨肌)1.1.1.-112.预长机13.翅内部脉14.椎动脉166719IZ会厌前间隙颈阔肌会厌喉梨状瞪窝杓状会厌皱蜷颈前静睡15 .甲状腺卜切迹16 .会厌软竹茎17 .假声带18 .甲状软管薄板19 .甲状软胃I角20 .C1椎体25.C5椎体2.34.5.6.7.S.骨甲状肌,肩胛舌骨肌,甲状舌骨肌)甲状软骨甲状杓状肌喉前庭咽喙周围间隙梨状的窝杓状软骨结节杓状软骨体12 .州总动脉13 .预内静脉14 .颈长肌15 .C1椎体16 .椎动肽17原结18 .声门裂19 .声带肌20 .真卢带

展开阅读全文
相关资源
猜你喜欢
相关搜索

当前位置:首页 > 医学/心理学 > 妇产科学

copyright@ 2008-2023 1wenmi网站版权所有

经营许可证编号:宁ICP备2022001189号-1

本站为文档C2C交易模式,即用户上传的文档直接被用户下载,本站只是中间服务平台,本站所有文档下载所得的收益归上传人(含作者)所有。第壹文秘仅提供信息存储空间,仅对用户上传内容的表现方式做保护处理,对上载内容本身不做任何修改或编辑。若文档所含内容侵犯了您的版权或隐私,请立即通知第壹文秘网,我们立即给予删除!