医学影像科李斯特菌菱脑炎(脑干脑炎)病例分析专题报告.docx

上传人:p** 文档编号:326797 上传时间:2023-05-28 格式:DOCX 页数:5 大小:90.96KB
下载 相关 举报
医学影像科李斯特菌菱脑炎(脑干脑炎)病例分析专题报告.docx_第1页
第1页 / 共5页
医学影像科李斯特菌菱脑炎(脑干脑炎)病例分析专题报告.docx_第2页
第2页 / 共5页
医学影像科李斯特菌菱脑炎(脑干脑炎)病例分析专题报告.docx_第3页
第3页 / 共5页
医学影像科李斯特菌菱脑炎(脑干脑炎)病例分析专题报告.docx_第4页
第4页 / 共5页
医学影像科李斯特菌菱脑炎(脑干脑炎)病例分析专题报告.docx_第5页
第5页 / 共5页
亲,该文档总共5页,全部预览完了,如果喜欢就下载吧!
资源描述

《医学影像科李斯特菌菱脑炎(脑干脑炎)病例分析专题报告.docx》由会员分享,可在线阅读,更多相关《医学影像科李斯特菌菱脑炎(脑干脑炎)病例分析专题报告.docx(5页珍藏版)》请在第壹文秘上搜索。

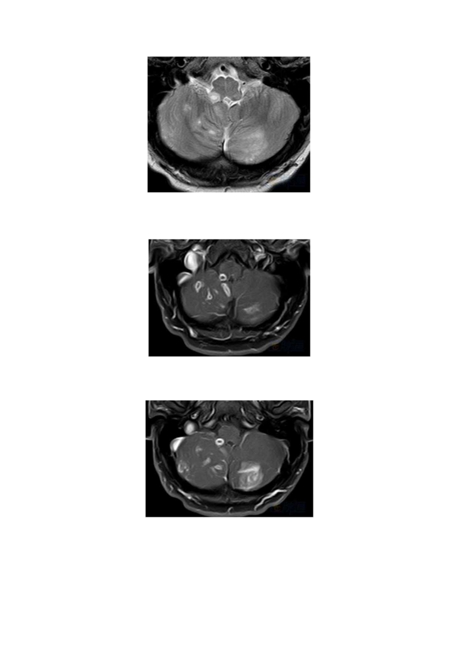
1、医学影像科一例李斯特菌菱脑炎(脑干脑炎)病例分析专题报告病史患者男性,29岁,发热,乏力和头痛加重一周,伴相关眩晕,共济失调,吞咽困难,复视,持续性呃逆,左面部感觉异常。读片分析轴向T1.WI(A)显示右延髓结节性Tb低信号病变。轴向T2WI(B,C)显示蚓部和两个小脑半球双边斑片状假结节性T2高信号。对比增强饱和脂肪TIW1.(D,E)显示脑干和小脑多发结节状和环状增强病变。左小脑半球也可见脑膜强化片状区域。轴向DWI(F)显示右侧延髓背索局限性扩散。诊断:李斯特菌菱脑炎(脑干脑炎)李斯特菌病是进食受李斯特菌污染的食品引起的一种严重感染。这种细菌可见于各种食物,如生肉,蔬菜和未经高温消毒牛奶

2、制成的乳制品。这种细菌是一种非抱子形成,革兰氏阳性杆菌。一个健康的人在进食受污染的食物后发生李斯特菌病的风险是很低的。李斯特菌菱脑炎的诊断基于临床表现(颅神经功能障碍,共济失调,发热,头痛,恶心,呕吐,昏迷,反射减弱或反射亢进),血培养,脑脊液分析(细胞增多),和MRI检查结果。临床资料:李斯特菌引起的脑干脑炎的特征是进行性脑干功能障碍,占所有李斯特菌病病例的10%o在尸检中,表现为较低位脑神经细胞核炎性浸润。影像学表现:MR1.可能对该病的早期诊断至关重要。李斯特氏菌感染易感染背侧脑干和小脑,第四脑室的特殊层。可见脑膜炎,脑炎,和脓肿,取决于疾病的时间演变。DDX:病毒性脑炎,淋巴瘤,血管炎(系统性红斑狼疮,贝切特病),结节病,肺结核,多发性硬化,以及急性播散性脑脊髓炎。病毒性脑炎主要导致血培养阴性脑脊液淋巴细胞占优。结核性脑膜炎可通过软脑膜受累,脑脊液低血糖水平区分。血管炎性与肉芽肿性疾病有关。急性播散性脑脊髓炎病变大多广泛,涉及皮质下半球的区域,且不限于脑干和小脑。根据临床和MRI表现,在培养结果确认前启动治疗(氨苇青霉素,头抱睡月亏和庆大霉素)。与单纯的脑膜炎相比,李斯特菌菱脑炎可导致相当高的持续性神经功能缺损发病率。

展开阅读全文
相关资源
猜你喜欢
相关搜索

当前位置:首页 > 论文 > 医学论文

copyright@ 2008-2023 1wenmi网站版权所有

经营许可证编号:宁ICP备2022001189号-1

本站为文档C2C交易模式,即用户上传的文档直接被用户下载,本站只是中间服务平台,本站所有文档下载所得的收益归上传人(含作者)所有。第壹文秘仅提供信息存储空间,仅对用户上传内容的表现方式做保护处理,对上载内容本身不做任何修改或编辑。若文档所含内容侵犯了您的版权或隐私,请立即通知第壹文秘网,我们立即给予删除!