免疫组化结果判断及常见问题的分析.ppt

上传人:p** 文档编号:590197 上传时间:2023-11-22 格式:PPT 页数:47 大小:10.36MB
下载 相关 举报
免疫组化结果判断及常见问题的分析.ppt_第1页
第1页 / 共47页
免疫组化结果判断及常见问题的分析.ppt_第2页
第2页 / 共47页
免疫组化结果判断及常见问题的分析.ppt_第3页
第3页 / 共47页
免疫组化结果判断及常见问题的分析.ppt_第4页
第4页 / 共47页
免疫组化结果判断及常见问题的分析.ppt_第5页
第5页 / 共47页
免疫组化结果判断及常见问题的分析.ppt_第6页
第6页 / 共47页
免疫组化结果判断及常见问题的分析.ppt_第7页
第7页 / 共47页
免疫组化结果判断及常见问题的分析.ppt_第8页
第8页 / 共47页
免疫组化结果判断及常见问题的分析.ppt_第9页
第9页 / 共47页
免疫组化结果判断及常见问题的分析.ppt_第10页
第10页 / 共47页
亲,该文档总共47页,到这儿已超出免费预览范围,如果喜欢就下载吧!
资源描述

《免疫组化结果判断及常见问题的分析.ppt》由会员分享,可在线阅读,更多相关《免疫组化结果判断及常见问题的分析.ppt(47页珍藏版)》请在第壹文秘上搜索。

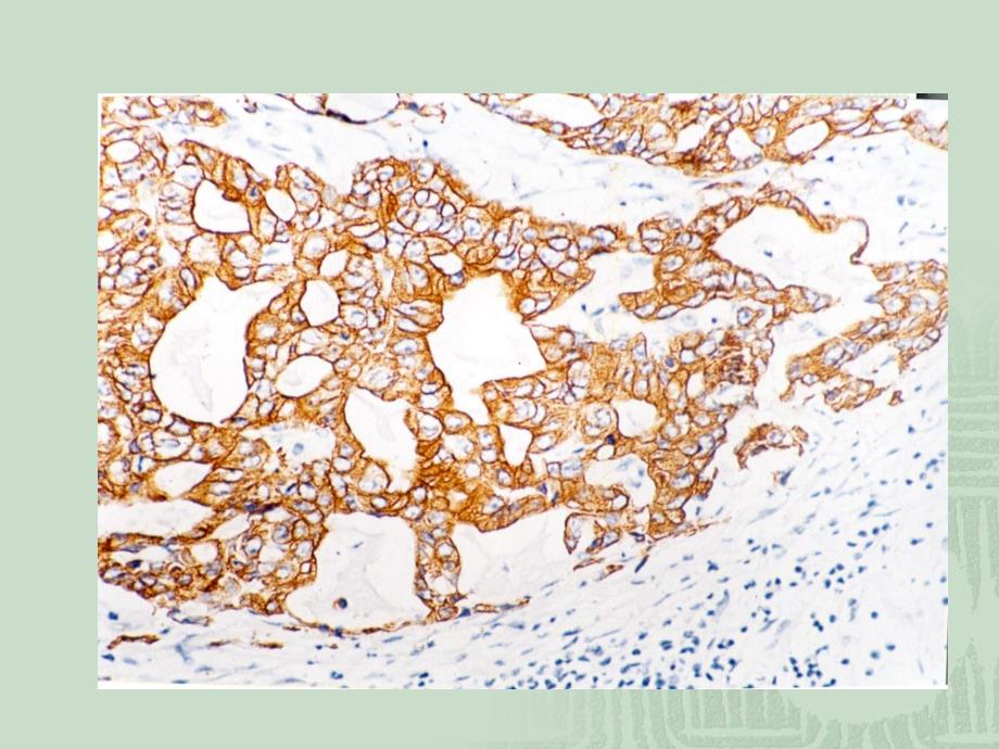
1、免疫组化结果判断免疫组化结果判断及常见问题分析及常见问题分析肝脏:肝脏:CK8理想着色,胆管上皮细胞强阳性,理想着色,胆管上皮细胞强阳性,肝细胞呈不同层次阳性。肝细胞呈不同层次阳性。pan CK(AE1/AE3)在肝脏理想的染色,采用了热修复。在肝脏理想的染色,采用了热修复。肝细胞膜、胆管强而清晰的着色。背景干净。肝细胞膜、胆管强而清晰的着色。背景干净。一、特异性染色的判断一、特异性染色的判断1.特定的定位特定的定位 细胞阳性细胞阳性根据靶抗原不同而呈现胞膜型、胞浆型根据靶抗原不同而呈现胞膜型、胞浆型 或胞核型或胞核型 间质阳性间质阳性表现为细胞外着色,局限性或弥散性表现为细胞外着色,局限性或

2、弥散性2.染色的不均一性染色的不均一性 阳性细胞的染色分布不均,片状或点状散在分布阳性细胞的染色分布不均,片状或点状散在分布 染色强弱不等,颜色深浅反映抗原量的多少染色强弱不等,颜色深浅反映抗原量的多少 3.排除人为造成的非特异性染色排除人为造成的非特异性染色 切片的折叠、刀痕,色素沉着,组织细胞坏死。切片的折叠、刀痕,色素沉着,组织细胞坏死。4.颗粒性显色颗粒性显色 DAB显色在高倍镜下呈颗粒状而非均匀着色。显色在高倍镜下呈颗粒状而非均匀着色。免疫组化标准化照片免疫组化标准化照片CK10CD44v6ER合格合格的免疫组化染色切片的免疫组化染色切片是正确判断染色结果的基础和前提是正确判断染色结

3、果的基础和前提不合格不合格的免疫组化染色切片的免疫组化染色切片容易导致误判容易导致误判C-erbB-2优优良良中中差差4321ER子宫内膜子宫内膜PR染色,修复不足染色,修复不足 子宫内膜子宫内膜PR染色,修复良好染色,修复良好 PR编号编号阳性片阳性片待检片待检片阴性对照阴性对照结论结论12345 操作失误,抗体失效操作失误,抗体失效非特异性着色非特异性着色阳性片不含靶抗原阳性片不含靶抗原待检片不含定位抗原待检片不含定位抗原待检片含定位抗原待检片含定位抗原二、染色结果的判断二、染色结果的判断PCNA S-P400S-P4001-day CM4-day CM阳性强度阳性强度2010视野下,随机

4、选视野下,随机选取取5个视野,测个视野,测100个阳性个阳性细胞的平均光密度即为此细胞的平均光密度即为此片的阳性强度。片的阳性强度。三、结果分析三、结果分析P53阳性细胞百分比阳性细胞百分比 计数计数100个瘤细胞,其中个瘤细胞,其中阳性细胞的比例:阳性细胞的比例:5%()()5%30%()()30%50%()50%()PCNABarnes法法A:瘤细胞显色有无及深浅瘤细胞显色有无及深浅 0(不着色)(不着色)1(浅黄色)(浅黄色)2(棕黄色)(棕黄色)3(棕褐色)(棕褐色)B:显色细胞的比例显色细胞的比例 1(1%10%)2(11%50%)3(51%80%)4(80%)评分评分=AB 0分:

5、阴性分:阴性 14分:弱阳性分:弱阳性 4分:强阳性分:强阳性胶原染色胶原染色阳性面积百分比阳性面积百分比4010视野,选取视野,选取5个视野,计算阳性区域面积占整个参考个视野,计算阳性区域面积占整个参考面积的百分率。面积的百分率。CD34Weidner法(法(MVD计数)计数)1.孤立的棕黄色细胞族代表一条孤立的棕黄色细胞族代表一条微血管。微血管。2.低倍镜下找到组织内密度最高低倍镜下找到组织内密度最高区域。区域。3.4010视野下计数微血管数目。视野下计数微血管数目。K-rasVEGF附:定量分析图象处理系统图象处理系统 1、图象处理、图象处理:利用仪器按照不同的目的进行图象的修正、变利用

6、仪器按照不同的目的进行图象的修正、变换、特征提取和测量。换、特征提取和测量。1)“狭义狭义”指消除图象的模糊不清部分,校正指消除图象的模糊不清部分,校正畸变。畸变。2)“广义广义”包括对图象的结构分析,提取特征包括对图象的结构分析,提取特征进行测量。进行测量。2、图象处理系统组成、图象处理系统组成 图象输入(显微镜、扫描仪)图象输入(显微镜、扫描仪)图象处理运算(病理图文分析软件)图象处理运算(病理图文分析软件)图象、数据输出图象、数据输出 3、图象处理系统功能、图象处理系统功能 几何形态学定量分析几何形态学定量分析 细胞核、浆的大小、面积、核浆比;细胞核、浆的大小、面积、核浆比;细胞分布密度

7、、个数;细胞分布密度、个数;血管、血管、腺体的面积、密度;间质的面积腺体的面积、密度;间质的面积 免疫组织化学分析免疫组织化学分析 按着色灰度分类,计算阳性、阴性细胞的面积含量按着色灰度分类,计算阳性、阴性细胞的面积含量 DNA倍体分析倍体分析 计算正常细胞及肿瘤细胞计算正常细胞及肿瘤细胞DNA 含量,给出倍体参数、含量,给出倍体参数、DNA参数分布参数分布直方图直方图 AgNOR分析分析 颗粒分析:数目、大小、面积、比例颗粒分析:数目、大小、面积、比例 四、免疫组化异常着色及对策四、免疫组化异常着色及对策1.非特异性着色及其对策非特异性着色及其对策非特异性着色原因非特异性着色原因对策对策操作

8、过程冲洗不充分操作过程冲洗不充分每步冲洗每步冲洗35min内源性过氧化物酶内源性过氧化物酶3H2O2封闭封闭内源性生物素内源性生物素使用生物素阻断试剂盒阻断使用生物素阻断试剂盒阻断电荷吸附电荷吸附非免疫动物血清封闭非免疫动物血清封闭抗体不纯抗体不纯采用单克隆抗体采用单克隆抗体切片制片不当切片制片不当改善取材和制片改善取材和制片加试剂后切片干燥加试剂后切片干燥防止切片干燥防止切片干燥内源性生物素内源性生物素肾小管肾小管 内源性生物素内源性生物素淋巴结转移性甲状腺腺癌淋巴结转移性甲状腺腺癌蜕膜组织部分胞核蜕膜组织部分胞核PR阳性,血管内红细胞阳性,血管内红细胞过氧化物酶过氧化物酶显色显色 嗜酸性粒

9、细胞中嗜酸性粒细胞中细胞色素细胞色素显色显色 吞噬细胞内吞噬细胞内 含铁血黄素含铁血黄素 坏死组织着色:坏死组织着色:AE1/AE3坏死组织着色坏死组织着色 交叉反应:乳腺交叉反应:乳腺ki-67组织细胞胞浆着色组织细胞胞浆着色黑色素瘤,细胞内含黑色素瘤,细胞内含黑色素黑色素,呈紫黑色,呈紫黑色,HE染色染色 灶状着色:机械原因着色灶状着色:机械原因着色Cyclin D1 套细胞淋巴瘤套细胞淋巴瘤全片着色全片着色全片着色全片着色边缘着色边缘着色“阴阳脸阴阳脸”着着色色气泡气泡非特异性着色原因非特异性着色原因对策对策操作过程冲洗不充分操作过程冲洗不充分每步冲洗每步冲洗35min内源性过氧化物酶内

10、源性过氧化物酶3H2O2封闭封闭内源性生物素内源性生物素使用生物素阻断试剂盒阻断使用生物素阻断试剂盒阻断电荷吸附电荷吸附非免疫动物血清封闭非免疫动物血清封闭抗体不纯抗体不纯采用单克隆抗体采用单克隆抗体切片制片不当切片制片不当改善取材和制片改善取材和制片加试剂后切片干燥加试剂后切片干燥防止切片干燥防止切片干燥非特异性着色及其对策非特异性着色及其对策无信号片无信号片CD302.染色的假阴性及其对策染色的假阴性及其对策染色假阴性原因染色假阴性原因对策对策组织处理不当(固定、浸蜡)组织处理不当(固定、浸蜡)改善条件,重取材改善条件,重取材一抗与二抗种属连接错误一抗与二抗种属连接错误确定抗体种属无误确定

11、抗体种属无误抗体失效抗体失效不得使用过期的试剂盒不得使用过期的试剂盒显色系统不相适配显色系统不相适配更换适配的显色系统更换适配的显色系统操作不当,遗漏重要步骤操作不当,遗漏重要步骤严格遵守操作规程严格遵守操作规程无色或浅色片无色或浅色片MCL理想的理想的 CD5着色。所有的着色。所有的瘤细胞都着色很强。散在的瘤细胞都着色很强。散在的T细细胞着色比瘤细胞深。胞着色比瘤细胞深。MCL的的CD5染色不足染色不足(一抗浓一抗浓度太低度太低)。MCL瘤细胞几乎都瘤细胞几乎都没有着色。没有着色。3.染色过弱原因及其对策染色过弱原因及其对策染色过弱原因染色过弱原因对策对策抗体浓度过低,孵育时间过短抗体浓度过低,孵育时间过短提高浓度,延长时间提高浓度,延长时间滴加试剂时缓冲液未沥干滴加试剂时缓冲液未沥干滴加试剂前沥干多余水分滴加试剂前沥干多余水分过度蛋白封闭过度蛋白封闭缩短封闭时间缩短封闭时间抗原被破坏抗原被破坏新鲜组织及时固定,固定新鲜组织及时固定,固定时间不要超过时间不要超过24小时小时室温太低,室温太低,15适当延长孵育时间适当延长孵育时间

展开阅读全文
相关资源
猜你喜欢
相关搜索

当前位置:首页 > 高等教育 > 大学课件

copyright@ 2008-2023 1wenmi网站版权所有

经营许可证编号:宁ICP备2022001189号-1

本站为文档C2C交易模式,即用户上传的文档直接被用户下载,本站只是中间服务平台,本站所有文档下载所得的收益归上传人(含作者)所有。第壹文秘仅提供信息存储空间,仅对用户上传内容的表现方式做保护处理,对上载内容本身不做任何修改或编辑。若文档所含内容侵犯了您的版权或隐私,请立即通知第壹文秘网,我们立即给予删除!