后扩冠脉穿孔.docx

上传人:p** 文档编号:828619 上传时间:2024-03-15 格式:DOCX 页数:13 大小:434.17KB
下载 相关 举报
后扩冠脉穿孔.docx_第1页
第1页 / 共13页
后扩冠脉穿孔.docx_第2页
第2页 / 共13页
后扩冠脉穿孔.docx_第3页
第3页 / 共13页
后扩冠脉穿孔.docx_第4页
第4页 / 共13页
后扩冠脉穿孔.docx_第5页
第5页 / 共13页
后扩冠脉穿孔.docx_第6页
第6页 / 共13页
后扩冠脉穿孔.docx_第7页
第7页 / 共13页
后扩冠脉穿孔.docx_第8页
第8页 / 共13页
后扩冠脉穿孔.docx_第9页
第9页 / 共13页
后扩冠脉穿孔.docx_第10页
第10页 / 共13页
亲,该文档总共13页,到这儿已超出免费预览范围,如果喜欢就下载吧!
资源描述

《后扩冠脉穿孔.docx》由会员分享,可在线阅读,更多相关《后扩冠脉穿孔.docx(13页珍藏版)》请在第壹文秘上搜索。

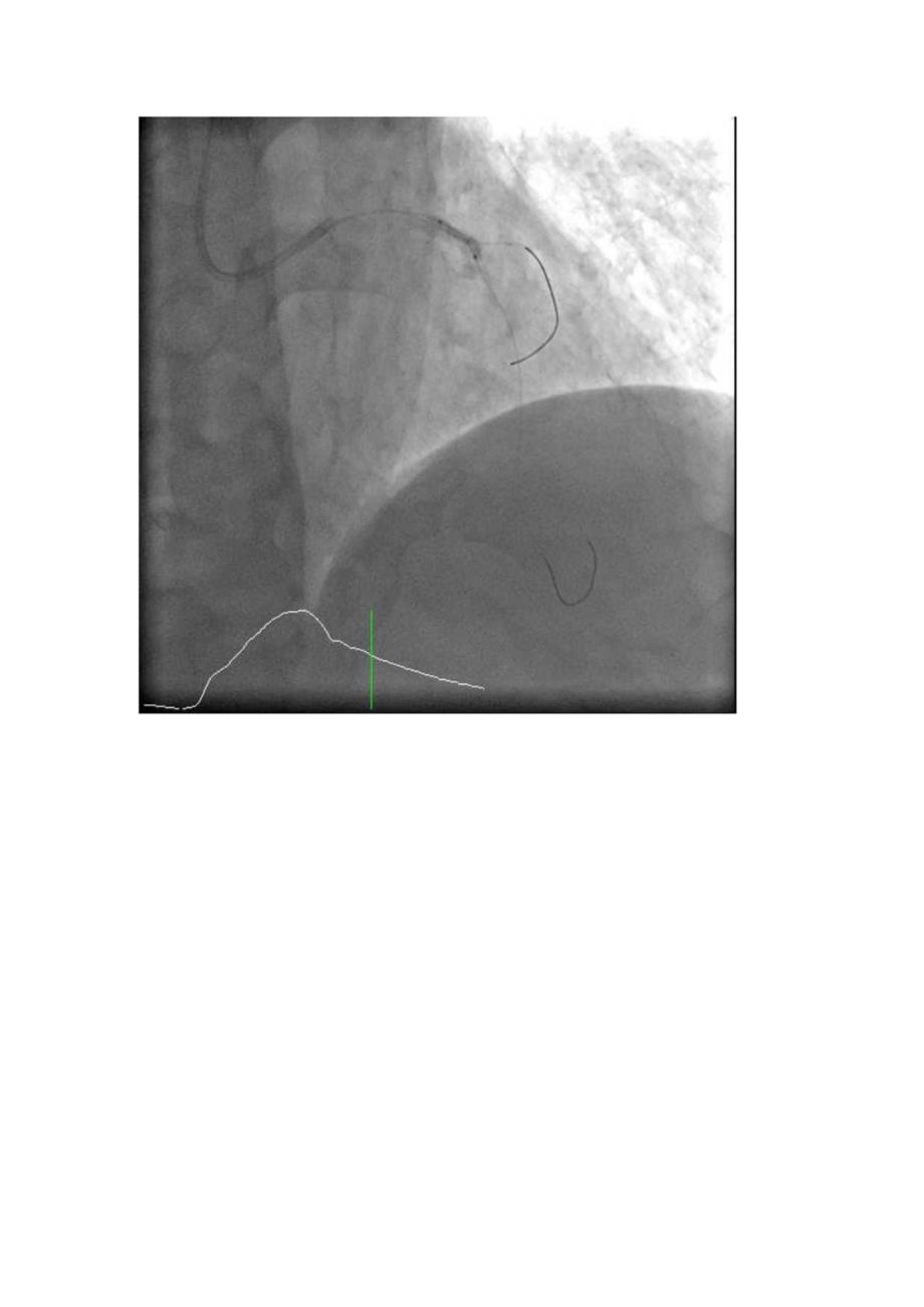
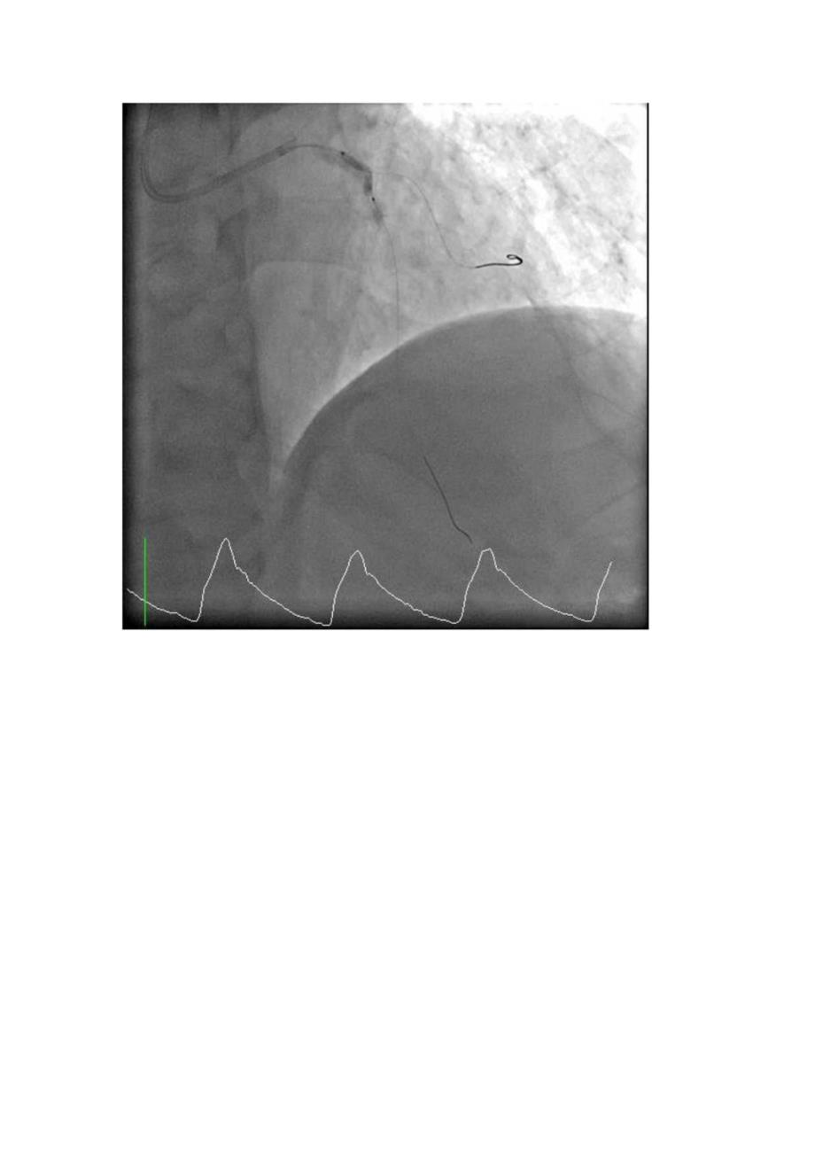
病史摘要:1.患者,男,80岁;2 .主诉:发作性胸闷、胸痛5年余,加重一月余3 .查体:神清、气平,全身皮肤未见黄染,全身浅表淋巴结未及肿大。双侧瞳孔等大等圆,对光反射存在。口唇无绢,伸舌居中,颈软,气管居中,颈静脉无怒张,双侧呼吸音清,双肺未闻及干湿罗音。心率83次/分,律齐,未闻及病理性杂音,血压134/8OmmHg。腹软,无压痛、无反跳痛。肝脾肋下未及。双下无肢浮肿。正常生理反射存在,病理反射未引出。4 .辅检:2016/06/21;冠状动脉造影术PCl术,LM:未见明显狭窄:LAD:近段开始弥漫性病变,80-95%狭窄;LCX:弥漫性病变,钙化,中段局部60%狭窄;RCA:近段支架内内膜增生,中段局部80%狭窄,远段闭塞。右冠植入3.0*15mmRES0LUTE支架。48小时主治医师诊断:冠状动脉粥样硬化性心脏病、不稳定型心绞痛、陈旧性下壁心肌梗死、RCA-PCl术后、心功能II级、高血压病八

展开阅读全文
相关资源
猜你喜欢
相关搜索

当前位置:首页 > 研究报告 > 技术指导

copyright@ 2008-2023 1wenmi网站版权所有

经营许可证编号:宁ICP备2022001189号-1

本站为文档C2C交易模式,即用户上传的文档直接被用户下载,本站只是中间服务平台,本站所有文档下载所得的收益归上传人(含作者)所有。第壹文秘仅提供信息存储空间,仅对用户上传内容的表现方式做保护处理,对上载内容本身不做任何修改或编辑。若文档所含内容侵犯了您的版权或隐私,请立即通知第壹文秘网,我们立即给予删除!