正常冠脉造影.docx

上传人:p** 文档编号:836712 上传时间:2024-03-15 格式:DOCX 页数:9 大小:282.79KB
下载 相关 举报
正常冠脉造影.docx_第1页
第1页 / 共9页
正常冠脉造影.docx_第2页
第2页 / 共9页
正常冠脉造影.docx_第3页
第3页 / 共9页
正常冠脉造影.docx_第4页
第4页 / 共9页
正常冠脉造影.docx_第5页
第5页 / 共9页
正常冠脉造影.docx_第6页
第6页 / 共9页
正常冠脉造影.docx_第7页
第7页 / 共9页
正常冠脉造影.docx_第8页
第8页 / 共9页
正常冠脉造影.docx_第9页
第9页 / 共9页
亲,该文档总共9页,全部预览完了,如果喜欢就下载吧!
资源描述

《正常冠脉造影.docx》由会员分享,可在线阅读,更多相关《正常冠脉造影.docx(9页珍藏版)》请在第壹文秘上搜索。

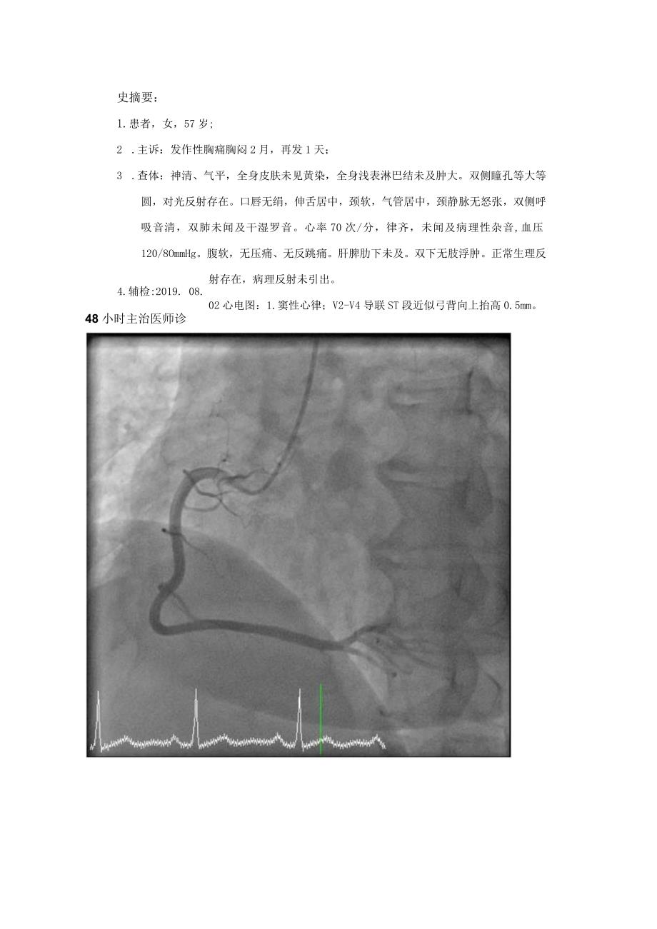
4.辅检:2019. 08.48小时主治医师诊断:史摘要:1.患者,女,57岁;2 .主诉:发作性胸痛胸闷2月,再发1天;3 .查体:神清、气平,全身皮肤未见黄染,全身浅表淋巴结未及肿大。双侧瞳孔等大等圆,对光反射存在。口唇无绢,伸舌居中,颈软,气管居中,颈静脉无怒张,双侧呼吸音清,双肺未闻及干湿罗音。心率70次/分,律齐,未闻及病理性杂音,血压120/8OmmHg。腹软,无压痛、无反跳痛。肝脾肋下未及。双下无肢浮肿。正常生理反射存在,病理反射未引出。02心电图:1.窦性心律;V2-V4导联ST段近似弓背向上抬高0.5mm。不稳定性心绞痛冠心病高血压3级(很高危)WAV郴郴郴郴M产2如郴郴郴l崛八郴蜘郴脾柚腑榔抑曲岫V

展开阅读全文
相关资源
猜你喜欢
相关搜索

当前位置:首页 > 法律/法学 > 国际贸易法

copyright@ 2008-2023 1wenmi网站版权所有

经营许可证编号:宁ICP备2022001189号-1

本站为文档C2C交易模式,即用户上传的文档直接被用户下载,本站只是中间服务平台,本站所有文档下载所得的收益归上传人(含作者)所有。第壹文秘仅提供信息存储空间,仅对用户上传内容的表现方式做保护处理,对上载内容本身不做任何修改或编辑。若文档所含内容侵犯了您的版权或隐私,请立即通知第壹文秘网,我们立即给予删除!