神经内科小儿颅脑损伤后并发大面积脑梗死病例分析专题报告.docx

上传人:p** 文档编号:851448 上传时间:2024-03-22 格式:DOCX 页数:3 大小:52.64KB
下载 相关 举报
神经内科小儿颅脑损伤后并发大面积脑梗死病例分析专题报告.docx_第1页
第1页 / 共3页
神经内科小儿颅脑损伤后并发大面积脑梗死病例分析专题报告.docx_第2页
第2页 / 共3页
神经内科小儿颅脑损伤后并发大面积脑梗死病例分析专题报告.docx_第3页
第3页 / 共3页
亲,该文档总共3页,全部预览完了,如果喜欢就下载吧!
资源描述

《神经内科小儿颅脑损伤后并发大面积脑梗死病例分析专题报告.docx》由会员分享,可在线阅读,更多相关《神经内科小儿颅脑损伤后并发大面积脑梗死病例分析专题报告.docx(3页珍藏版)》请在第壹文秘上搜索。

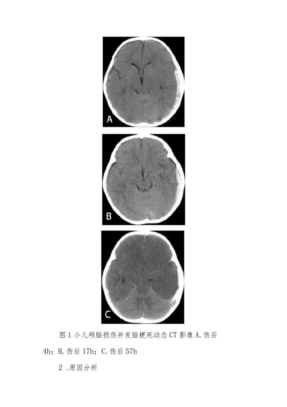
1、神经内科小儿颅脑损伤后并发大面积脑梗死病例分析专题报告1 .病例资料男,2岁1个月25d,因交通事故致颅脑损伤后意识不清3h入院。患儿家长诉2016年7月3日下午17时许被一辆行驶的轿车撞伤,当即意识不清,头部无开放性伤口及活动性出血,无肢体抽搐,无大小便失禁,立即被送至当地医院行头颅CT检查示左颗部硬膜下血肿,中线结构右移。建议转院治疗,遂来我院。急诊注射破伤风抗毒素。入院时体格检查:神志浅昏迷,全身多处软组织损伤,双侧瞳孔等大等圆,对光反射灵敏,直径3mm;眼姿、眼球运动无异常;左侧肢体自主活动,右侧肢体无自主运动;四肢未见明显肿胀畸形,右下肢生理反射减弱,病理反射未引出。腹部B超检查示餐

2、后胆囊,肝、脾、胰、双肾声像图未见明显异常,腹腔未探及积液。入院后给予止血、脱水、营养神经、吸氧、心电监护等治疗。7月4日复查头颅CT示血肿无明显增多。7月5日,患儿出现频繁抽搐,给予安定静滴控制抽搐。7月6日凌晨1点50分出现双侧瞳孔散大;头颅CT示双侧额题顶大面积脑梗死。家属放弃治疗,自动出院。图1小儿颅脑损伤并发脑梗死动态CT影像A.伤后4h;B.伤后17h;C.伤后57h2 .原因分析小儿脑血管内膜发育不完善,如果颅内压增高,会压迫血管,引起血管闭塞而导致脑梗死。血性脑脊液使血管痉挛。小儿脑组织饱满,颅内代偿空间小。出血后导致患儿出现频繁抽搐。3 .治疗体会因为目前GCS评分未考虑年龄因素,小儿GCS评分不能与成人等同,如果小儿(小于3岁)的GCS评分与成人相同,小儿应该考虑病情更重,对小儿颅脑损伤一定不能掉以轻心。预防外伤性脑梗死最重要的还是降低颅内压,因此对去骨瓣减压术的指征应该更宽一些,可以遵循“宁过勿不及”的原则。用药上应尽早应用钙离子拮抗剂的药物。补足液体量,小儿对脱水非常敏感。及时控制癫痫大发作,防止缺氧的进一步加重。因为一旦发生大面积脑梗死,将是致命的,所以对脑外伤性脑梗死重在预防,尽量将各种工作做到前面。

展开阅读全文
相关资源
猜你喜欢
相关搜索

当前位置:首页 > 论文 > 医学论文

copyright@ 2008-2023 1wenmi网站版权所有

经营许可证编号:宁ICP备2022001189号-1

本站为文档C2C交易模式,即用户上传的文档直接被用户下载,本站只是中间服务平台,本站所有文档下载所得的收益归上传人(含作者)所有。第壹文秘仅提供信息存储空间,仅对用户上传内容的表现方式做保护处理,对上载内容本身不做任何修改或编辑。若文档所含内容侵犯了您的版权或隐私,请立即通知第壹文秘网,我们立即给予删除!