胡椒盐征影像表现、临床病理及鉴别诊断.docx

上传人:p** 文档编号:855631 上传时间:2024-03-22 格式:DOCX 页数:10 大小:445.58KB
下载 相关 举报
胡椒盐征影像表现、临床病理及鉴别诊断.docx_第1页
第1页 / 共10页
胡椒盐征影像表现、临床病理及鉴别诊断.docx_第2页
第2页 / 共10页
胡椒盐征影像表现、临床病理及鉴别诊断.docx_第3页
第3页 / 共10页
胡椒盐征影像表现、临床病理及鉴别诊断.docx_第4页
第4页 / 共10页
胡椒盐征影像表现、临床病理及鉴别诊断.docx_第5页
第5页 / 共10页
胡椒盐征影像表现、临床病理及鉴别诊断.docx_第6页
第6页 / 共10页
胡椒盐征影像表现、临床病理及鉴别诊断.docx_第7页
第7页 / 共10页
胡椒盐征影像表现、临床病理及鉴别诊断.docx_第8页
第8页 / 共10页
胡椒盐征影像表现、临床病理及鉴别诊断.docx_第9页
第9页 / 共10页
胡椒盐征影像表现、临床病理及鉴别诊断.docx_第10页
第10页 / 共10页
亲,该文档总共10页,全部预览完了,如果喜欢就下载吧!
资源描述

《胡椒盐征影像表现、临床病理及鉴别诊断.docx》由会员分享,可在线阅读,更多相关《胡椒盐征影像表现、临床病理及鉴别诊断.docx(10页珍藏版)》请在第壹文秘上搜索。

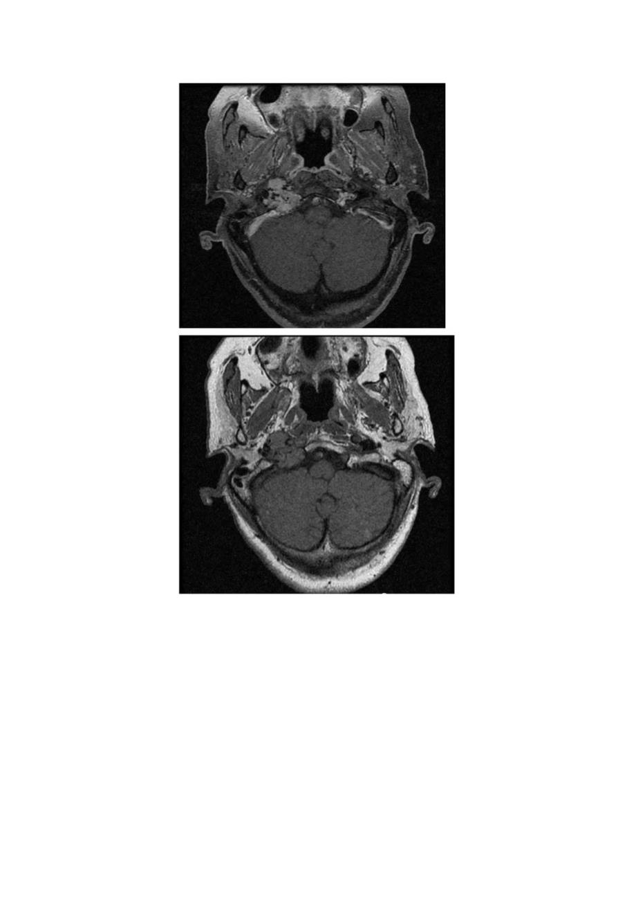
1、胡椒盐征影像表现、临床病理及鉴别诊断胡椒盐征:血管球瘤中有多数迂曲条状及点状血管流空影,MRI增强扫描不强化,肿瘤实质明显强化,称为“椒盐”征。“椒”是低信号血管流空影;“盐”是指高信号的点状出血。横断位所见患者女性,72岁,反复头痛、耳鸣1年余,加重1周。更为形象的TOF-MRAP同一患者CT分析与讨论颈静脉球瘤,起源于颈静脉球壁的化学感受器,属副神经节细胞来源的一类非嗜倍性副神经节瘤(化学感受器瘤),为良性血管性肿瘤,但其生长方式呈恶性。多为无功能性肿瘤,功能性颈静脉球瘤少见。嗜倍性副神经节瘤好发于肾上腺,也叫嗜倍细胞瘤。非嗜倍性副神经节瘤(化学感受器瘤),好发于头颈部,如颈动脉分叉(即颈

2、动脉体瘤)、颈部迷走神经、颈静脉球(即颈静脉球瘤)和中耳鼓室(鼓室球瘤),少数来自鼻咽、喉腔、翼腭窝等。在MRl检查中,颈静脉球瘤除发生部位较特殊外,信号变化,内部血管结构和增强强化形式等有助于该病的诊断。肿瘤实质在T2WI则多数呈明显高信号,TlWI多呈中等或偏低信号,TIWl增强扫描呈明显均匀强化,在多个序列中可见椒盐征,即在肿瘤实质中可见点,条状的无信号流空血管影。肿瘤直径较大时出现此征象的几率高,MRA可发现瘤区有异常血管。在病理组织学上,肿瘤由I型的主细胞和Il型支持细胞构成,主细胞簇由富含大量血管腔的纤维基质分隔,这些血管形成很多毛细血管前动、静脉瘦,这些组织、病理学特点是该类肿瘤MR信号变化及椒盐征的基础。鉴别诊断:1、脑膜瘤:发生颈静脉孔区的脑膜瘤需同颈静脉球瘤鉴别。脑膜瘤多数信号常较均匀,在T2WI上信号多为等或稍高信号,TlWI上多为等或稍低信号,增强扫描常明显均匀强化,有时可见钙化、脑膜尾征等,囊变少见。2、2、IXXl对颅神经起源的肿瘤神经瘤:二者鉴别较困难,较大的神经鞘瘤坏死、囊变常见,而颈静脉球瘤坏死囊变较少,常见椒盐征。

展开阅读全文
相关资源
猜你喜欢
相关搜索

当前位置:首页 > 医学/心理学 > 基础医学

copyright@ 2008-2023 1wenmi网站版权所有

经营许可证编号:宁ICP备2022001189号-1

本站为文档C2C交易模式,即用户上传的文档直接被用户下载,本站只是中间服务平台,本站所有文档下载所得的收益归上传人(含作者)所有。第壹文秘仅提供信息存储空间,仅对用户上传内容的表现方式做保护处理,对上载内容本身不做任何修改或编辑。若文档所含内容侵犯了您的版权或隐私,请立即通知第壹文秘网,我们立即给予删除!