临床T1高信号指示意义及胼胝体脂肪瘤、出血、脑梗塞出血转化等疾病影像学表现.docx

上传人:p** 文档编号:1057327 上传时间:2024-06-29 格式:DOCX 页数:8 大小:330.28KB
下载 相关 举报
临床T1高信号指示意义及胼胝体脂肪瘤、出血、脑梗塞出血转化等疾病影像学表现.docx_第1页
第1页 / 共8页
临床T1高信号指示意义及胼胝体脂肪瘤、出血、脑梗塞出血转化等疾病影像学表现.docx_第2页
第2页 / 共8页
临床T1高信号指示意义及胼胝体脂肪瘤、出血、脑梗塞出血转化等疾病影像学表现.docx_第3页
第3页 / 共8页
临床T1高信号指示意义及胼胝体脂肪瘤、出血、脑梗塞出血转化等疾病影像学表现.docx_第4页
第4页 / 共8页
临床T1高信号指示意义及胼胝体脂肪瘤、出血、脑梗塞出血转化等疾病影像学表现.docx_第5页
第5页 / 共8页
临床T1高信号指示意义及胼胝体脂肪瘤、出血、脑梗塞出血转化等疾病影像学表现.docx_第6页
第6页 / 共8页
临床T1高信号指示意义及胼胝体脂肪瘤、出血、脑梗塞出血转化等疾病影像学表现.docx_第7页
第7页 / 共8页
临床T1高信号指示意义及胼胝体脂肪瘤、出血、脑梗塞出血转化等疾病影像学表现.docx_第8页
第8页 / 共8页
亲,该文档总共8页,全部预览完了,如果喜欢就下载吧!
资源描述

《临床T1高信号指示意义及胼胝体脂肪瘤、出血、脑梗塞出血转化等疾病影像学表现.docx》由会员分享,可在线阅读,更多相关《临床T1高信号指示意义及胼胝体脂肪瘤、出血、脑梗塞出血转化等疾病影像学表现.docx(8页珍藏版)》请在第壹文秘上搜索。

1、临床Tl高信号指示意义及月并肌体脂肪瘤、出血、脑梗塞出血转化等疾病影像学表现TI加权像上的高信号多由于出血或脂肪组织引起。此外,还可见于多种颅内病变中,包括肿瘤、脑血管病、代谢性疾病以及某些正常的生理状态下。在射频脉冲的激发下,人体组织内氢质子吸收能量处于激发状态。射频脉冲终止后,处于激发状态的氢质子恢复其原始状态,这个过程称为弛豫。在弛豫过程中,氢质子将其吸收的能量释放到周围环境中,若质子及所处晶格中的质子也以与1.annOr频率相似的频率进动,那么氢质子的能量释放就较快,组织的Tl弛段时间越短,Tl加权像其信号强度就越高。TI弛豫时间缩短者有3种情况:其一为结合水效应:其二为顺磁性物质:其

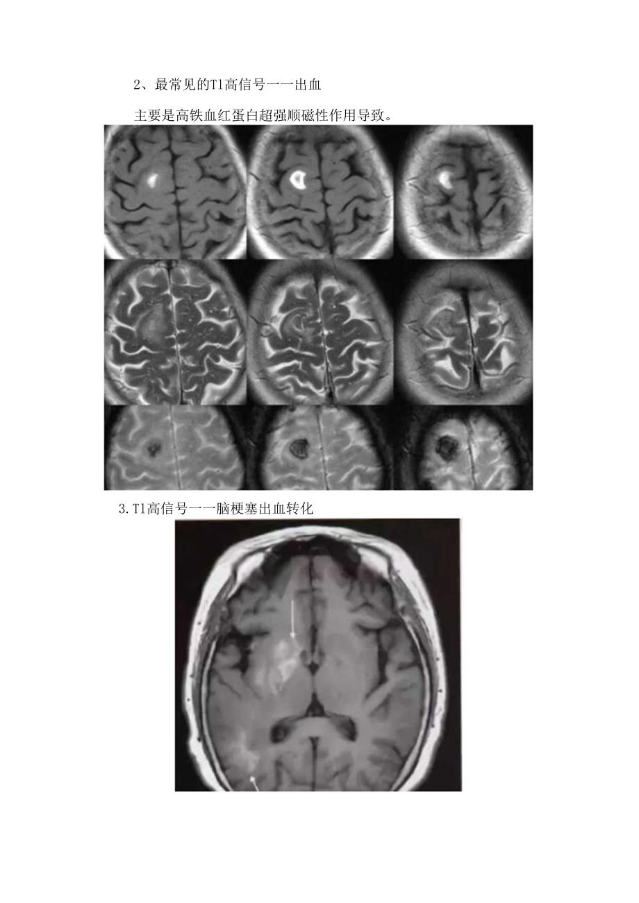
2、三为脂类分子。经典案例1.最常见的Tl高信号脂肪本例为肺胀体脂肪瘤。2、最常见的Tl高信号一一出血主要是高铁血红蛋白超强顺磁性作用导致。3.Tl高信号一一脑梗塞出血转化4. Tl高信号一一脑梗塞后皮层层状坏死坏死碎屑中的蛋白变性,或少量顺磁性物质沉积o5. Tl高信号动脉痛原因:慢血流造成的流动相关增强与血拴形成.7.Tl高信号动脉扩张迂曲8、TI高信号层面内血管在一定血流速度下,TlWI上呈高信号,由于TE明显延长,这些血管在T2WI呈流空信号。9. Tl高信号脑血管畸形脑血管畸形包括发育性静脉畸形、动静脉畸形、毛细血管扩张症、海绵状血管畸形。海绵状血管畸形常有慢性隐性出血,MRI为其首选影像学检查,典型表现为爆米花状高信号及病变周用含铁血黄素所致的信号环,但SWl比TIWl对出血更敏感。10. Tl高信号一一含蛋白物质下图为颅咽管瘤。下图为胶样囊肿。I1.Tl高信号一一肝性脑病镒过度沉积。黑色素的自由基含有不成对电子和氢质子的顺磁性效应。13.Tl高信号一一神经垂体抗利尿激素与血管加压素神经内分泌滤泡附近水分子弛豫增强。巨噬细胞吞噬脂质。15.Tl高信号钙化钙磁性钙盐+其他顺磁性物质;下图为软骨瘤。

展开阅读全文
相关资源
猜你喜欢
相关搜索

当前位置:首页 > 论文 > 毕业论文

copyright@ 2008-2023 1wenmi网站版权所有

经营许可证编号:宁ICP备2022001189号-1

本站为文档C2C交易模式,即用户上传的文档直接被用户下载,本站只是中间服务平台,本站所有文档下载所得的收益归上传人(含作者)所有。第壹文秘仅提供信息存储空间,仅对用户上传内容的表现方式做保护处理,对上载内容本身不做任何修改或编辑。若文档所含内容侵犯了您的版权或隐私,请立即通知第壹文秘网,我们立即给予删除!