血细胞图片小测.ppt

上传人:p** 文档编号:467785 上传时间:2023-09-08 格式:PPT 页数:44 大小:2.28MB
下载 相关 举报
血细胞图片小测.ppt_第1页
第1页 / 共44页
血细胞图片小测.ppt_第2页
第2页 / 共44页
血细胞图片小测.ppt_第3页
第3页 / 共44页
血细胞图片小测.ppt_第4页
第4页 / 共44页
血细胞图片小测.ppt_第5页
第5页 / 共44页
血细胞图片小测.ppt_第6页
第6页 / 共44页
血细胞图片小测.ppt_第7页
第7页 / 共44页
血细胞图片小测.ppt_第8页
第8页 / 共44页
血细胞图片小测.ppt_第9页
第9页 / 共44页
血细胞图片小测.ppt_第10页
第10页 / 共44页
亲,该文档总共44页,到这儿已超出免费预览范围,如果喜欢就下载吧!
资源描述

《血细胞图片小测.ppt》由会员分享,可在线阅读,更多相关《血细胞图片小测.ppt(44页珍藏版)》请在第壹文秘上搜索。

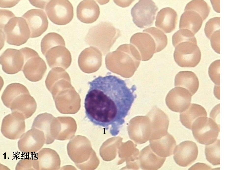
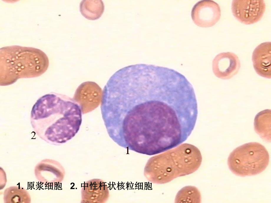
1、 1.浆细胞浆细胞 2.肥大细胞肥大细胞 1.浆细胞浆细胞 1.原浆细胞原浆细胞 2.中性杆状核粒细胞中性杆状核粒细胞 有核红细胞造血岛有核红细胞造血岛 1.中幼红细胞中幼红细胞 2.浆细胞浆细胞 1.1.早幼红细胞早幼红细胞 1.1.巨噬细胞巨噬细胞 1.1.原红细胞原红细胞 1.1.早幼红细胞早幼红细胞 1.1.成骨细胞成骨细胞2.2.血小板血小板 1.1.原始粒细胞原始粒细胞 1.原单细胞原单细胞11.肥大细胞肥大细胞 1.中幼红细胞中幼红细胞 2.幼浆细胞幼浆细胞 3.中性杆状核粒细胞中性杆状核粒细胞 1.原始单核细胞原始单核细胞 1.小淋巴细胞小淋巴细胞 2幼稚单核细胞幼稚单核细胞

2、1.1.破骨细胞破骨细胞 1.1.颗粒型巨核细胞颗粒型巨核细胞 1.嗜酸性杆状核粒细胞嗜酸性杆状核粒细胞 2.嗜碱性粒细胞嗜碱性粒细胞 1.1.原始单核细胞原始单核细胞 1.1.早幼粒细胞早幼粒细胞 2.2.中性中性中幼粒细胞中幼粒细胞 1.1.浆细胞浆细胞 1.1.晚幼红细胞晚幼红细胞 2.2.豪周氏小体豪周氏小体 1.颗粒型巨核细胞(放大颗粒型巨核细胞(放大100倍)倍)1.小淋巴细胞小淋巴细胞 2.中性分叶核粒细胞中性分叶核粒细胞 3.浆细胞浆细胞 1.1.浆细胞浆细胞 2.2.淋巴细胞淋巴细胞 3.3.中性杆状核粒细胞中性杆状核粒细胞 1.1.中幼红细胞中幼红细胞 2.2.单核细胞单核

3、细胞 1.1.成骨细胞成骨细胞 1.1.早幼粒细胞早幼粒细胞 2.2.晚幼红细胞晚幼红细胞1.1.单核细胞单核细胞 1.1.原始淋巴细胞原始淋巴细胞 2.2.早幼红细胞早幼红细胞 3.3.中性杆状核粒细胞中性杆状核粒细胞 1.1.原单细胞原单细胞 2.2.中幼红细胞中幼红细胞 1.1.原浆细胞原浆细胞 1.成骨细胞成骨细胞 1.幼稚单核细胞幼稚单核细胞 2.幼稚巨核细胞幼稚巨核细胞.嗜酸性中幼粒细胞嗜酸性中幼粒细胞 2.2.嗜酸性分叶核粒嗜酸性分叶核粒 3.3.退化细胞退化细胞 1.早幼粒细胞早幼粒细胞 1.中性杆状核粒细胞中性杆状核粒细胞 2.中性分叶核粒细胞中性分叶核粒细胞 3.大淋巴细胞大淋巴细胞 1.1.原始红细胞原始红细胞 1.1.小淋巴细胞小淋巴细胞 1.1.大淋巴细胞大淋巴细胞 1.1.嗜酸性晚幼粒细胞嗜酸性晚幼粒细胞 2.2.中性杆状核粒细胞中性杆状核粒细胞 1.1.原始红细胞原始红细胞 2.2.中幼红细胞中幼红细胞 3.3.中性中幼粒细胞中性中幼粒细胞 4.4.多染性红细胞多染性红细胞 1.1.小淋巴细胞小淋巴细胞 2.2.嗜酸性中幼粒细胞嗜酸性中幼粒细胞

展开阅读全文
相关资源
猜你喜欢
相关搜索

当前位置:首页 > 生活休闲 > 摄影摄像

copyright@ 2008-2023 1wenmi网站版权所有

经营许可证编号:宁ICP备2022001189号-1

本站为文档C2C交易模式,即用户上传的文档直接被用户下载,本站只是中间服务平台,本站所有文档下载所得的收益归上传人(含作者)所有。第壹文秘仅提供信息存储空间,仅对用户上传内容的表现方式做保护处理,对上载内容本身不做任何修改或编辑。若文档所含内容侵犯了您的版权或隐私,请立即通知第壹文秘网,我们立即给予删除!