鼻咽孤立性纤维性肿瘤ppt课件.ppt

上传人:p** 文档编号:501429 上传时间:2023-09-28 格式:PPT 页数:38 大小:2.51MB
下载 相关 举报
鼻咽孤立性纤维性肿瘤ppt课件.ppt_第1页
第1页 / 共38页
鼻咽孤立性纤维性肿瘤ppt课件.ppt_第2页
第2页 / 共38页
鼻咽孤立性纤维性肿瘤ppt课件.ppt_第3页
第3页 / 共38页
鼻咽孤立性纤维性肿瘤ppt课件.ppt_第4页
第4页 / 共38页
鼻咽孤立性纤维性肿瘤ppt课件.ppt_第5页
第5页 / 共38页
鼻咽孤立性纤维性肿瘤ppt课件.ppt_第6页
第6页 / 共38页
鼻咽孤立性纤维性肿瘤ppt课件.ppt_第7页
第7页 / 共38页
鼻咽孤立性纤维性肿瘤ppt课件.ppt_第8页
第8页 / 共38页
鼻咽孤立性纤维性肿瘤ppt课件.ppt_第9页
第9页 / 共38页
鼻咽孤立性纤维性肿瘤ppt课件.ppt_第10页
第10页 / 共38页
亲,该文档总共38页,到这儿已超出免费预览范围,如果喜欢就下载吧!
资源描述

《鼻咽孤立性纤维性肿瘤ppt课件.ppt》由会员分享,可在线阅读,更多相关《鼻咽孤立性纤维性肿瘤ppt课件.ppt(38页珍藏版)》请在第壹文秘上搜索。

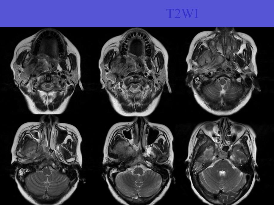
1、病例1患者女,58岁,口咽异物感,吞咽不畅,右颈部疼痛不适2个月无发热、盗汗及体重减轻,无咳嗽、咳痰,无明确既往病史查体:右软腭膨隆,口咽腔缩小,右颌面部肌肉略压痛鼻咽镜:鼻咽部右侧可见粘膜膨隆突出,右侧软腭膨隆 T2WIT1WIFS-T2WIGd-TraGd-SagGd-CorCT病理结果孤立性纤维性肿瘤,浸润生长,累计横纹肌组织孤立性纤维性肿瘤 孤立性纤维性肿瘤由(solitary fibrous tumor,SFT)由Klemperer和Rabin于1931年首先在胸膜发现并命名 SFT 是一种起源于CD34 阳性的树突状间叶细胞的肿瘤,并具有向纤维母细胞、肌纤维母细胞分化的特征 胸膜以

2、外的各组织器官均可发病,包括肺、纵隔、心包、腹膜、上呼吸道、甲状腺、肝脏、软组织、鼻咽、鼻旁窦、腮腺、脑膜 约10%23%的胸膜腔内和近10%胸腔外SFT 具有恶性生物学行为,表现为局部复发或远处转移,转移部位通常为肺、骨和肝 目前诊断良恶性的标准尚未完全统一,其恶性组织指标有:(1)肿瘤无蒂、无包膜或包块不完整,肿瘤直径10 cm;(2)肿瘤伴有出血坏死,有周围组织器官浸润;(3)细胞丰富且有明显异型性,核分裂易见4/10HPF;(4)免疫组化bc1-2 弥漫性强阳性,Ki67,PCNA 指数增高临床特点 本病发病年龄985岁,但文献报道本病发病高峰年龄为4060 岁 SFT因发生部位不同,

3、其临床症状差异很大,早期常表现为毫无临床症状的缓慢增大的肿块。临床上多数病例为缓慢生长的无痛性包块;特殊部位者可有相应压迫症状,少数直径较大者可产生副肿瘤综合症影像学特点 SFT CT平扫表现为边界清楚、密度均匀、与周围软组织等密度的孤立性软组织肿块;无分叶或可见浅小分叶;一般肿块内部无钙化;邻近骨结构无明显的骨质破坏;增强扫描实质一般明显强化 CT上明显的骨质破坏则反映了病变有恶性生物学行为 SFT 在MRI 上表现为T1WI 上以低信号为主,T2WI 上为低或中低混杂信号为主,增强后不均匀强化 其信号改变与病理成分相对应,SFT 瘤体内常含有丰富的纤维组织、透明样变性、黏液样变性、囊性变及

4、出血等,黏液样变或囊变坏死区呈高信号,细胞密集区呈稍高信号,低信号区反映致密胶原纤维鉴别诊断1、鼻咽癌 鼻咽癌是源于鼻咽部上皮组织的一种恶性肿瘤 大多于4060岁发病,男多于女,血涕是最常见的早期症状 NPC好发于鼻咽部侧隐窝的黏膜表层,使局部黏膜增厚或形成小肿块,至鼻咽腔不对称变浅、变窄。肿瘤组织的信号强度较均匀,T1WI 呈较肌肉略低信号,T2WI 呈略高信号,Gd-DTPA 增强后肿块明显强化。部分可呈肿块样突入鼻咽腔,或向黏膜下生长突入咽旁间隙的内后方;部分可呈浸润性生长,肿瘤与周围结构分界不清,脂肪间隔消失,局部骨质可有破坏 NPC可早期发生淋巴结转移,甚至鼻咽部的肿瘤处于影像学和鼻

5、咽纤维镜都不能发现的原位癌阶段,即T 分期的Tis 或T0期鼻咽癌,颈动脉鞘旁和胸锁乳突肌深面的颈深上中组淋巴结已发生转移 NPC对放疗敏感2、鼻咽纤维血管瘤 多见于青少年男性(1025岁),又称男性青春期出血性纤维瘤 临床以反复鼻衄为首发症状 表现为鼻咽顶后壁界限清楚的软组织肿块,可压迫邻近组织 邻近骨质可有吸收或压迫性破坏 有明显增强效应病例II 影像号:273581 患者女,27岁 两个月前无明显诱因出现头晕、头疼,伴恶心、呕吐,非喷射性,无发热、盗汗及体重减轻,无咳嗽、咳痰 无明确既往病史 查体无阳性发现T2WIT1WIFlairDWIADCGd-TraGd-SagGd-Cor病理结果

6、(厦门长庚医院)四脑室内B细胞淋巴瘤,免疫组化:CD3-,CD20+、CgA-、NF-、S100-、Vimentin部分阳性中枢神经系统淋巴瘤 分为原发淋巴瘤和继发淋巴瘤两种。原发性中枢神经系统淋巴瘤(primary central nervous system lymphoma,PCNSL)一般是指发生于大脑、小脑、脑干、软脑膜、脊髓及直接侵犯颅神经和眼的非霍奇金淋巴瘤,其中以发生于脑实质及脑膜的淋巴瘤多见,可称作颅内PCNSL PCNSL几乎都是非霍奇金恶性淋巴瘤,且绝大多数为B 细胞源性恶性淋巴瘤。PCNSL占颅内肿瘤的3%5%,所有淋巴瘤的1%,在所有非霍奇金淋巴瘤中不到5%PCNSL

7、 可发生于中枢神经系统的任何部位,幕上多见,好发于深部脑白质近中线部位。PCNSL 好发部位依次为大脑半球、胼胝体、基底节及丘脑,其次为小脑、脑干,仅发生于脑室内者罕见MRI表现 组织学上PCNSL高的细胞构成及核浆比,富纤维成分,决定MRI信号特点,T1W I大部分呈等、稍低信号,T2W I呈等、稍低信号,类似“脑膜瘤”信号 Gd-DTPA增强后,病灶大部分呈实性团块状或结节状均匀强化,典型的出现“缺口征”、“尖角征”、“握拳征”,病理上与瘤细胞围绕血管呈“嗜血管生长”特性有关 由于肿瘤围血管浸润性生长,导致血脑屏障的破坏,PCNSL的水肿,多认为是间质性水肿,DW I呈稍高信号;PCNSL

8、可侵及室管膜,常累及软脑膜,并可沿脑脊液播散种植 MR灌注成像病灶呈低灌注及MR波谱成像出现高耸的脂质峰有助于PCNSL的诊断(左基底节(左基底节)弥漫性大细胞霍奇金性淋巴瘤弥漫性大细胞霍奇金性淋巴瘤胼胝体体部淋巴瘤,累及左侧侧脑室,明显均匀强化胼胝体体部淋巴瘤,累及左侧侧脑室,明显均匀强化右顶叶淋巴瘤鉴别诊断:血管母细胞瘤 血管母细胞瘤又名血管网状细胞瘤,是一种中枢神经系统的少见的良性肿瘤,多单发。大体病理:多为大囊小结节型,囊腔形成原因可能是肿瘤组织退变及血管内皮生长因子(VEGF)过度表达作用于血管致使血管通透性增高,从而血浆外漏所致,瘤结节多附着于囊腔内贴近脑表面的一侧,瘤结节质硬,富

9、含小血管,单个或多发 根据大体病理将小脑血管母细胞瘤分为3 型:大囊小结节型;实质型;单纯囊型,其中大囊小结节型最常见 该病多发生于幕下和延髓、脊髓,占颅内肿瘤的0.19%3.15%,占后颅凹肿瘤的7%12%,是最常见的幕下原发肿瘤,分为散发性和家族遗传性 实质型:肿瘤呈等或稍长T1长T2 不均匀信号,瘤周水肿较轻,可见流空血管影,呈点状、条状、蚯蚓状甚至呈蜂窝状;FLAIR 像上肿瘤呈高信号;增强扫描肿瘤明显不均匀强化鉴别诊断:脑膜瘤 为脑外肿瘤,多位于脑表面邻近脑膜部位,边界清楚,DW I呈等或稍高信号,较大的脑膜瘤平扫可见血管流空,并且可见“白质挤压征”,肿瘤钙化常见 MR灌注成像呈高灌

10、注有助于鉴别单发脑转移瘤 多发生于灰白质交界处,DW I上多呈等或稍低信号,同时具有小病灶大水肿的特点,较大病灶常常坏死囊变,增强后可呈结节状及环形强化,多有原发恶性肿瘤病史 MRS有助于脑转移瘤与PCNSL的鉴别:在MRS 上,PCNSL 的Cho升高并出现高耸的Lip,并且在强化区外可见病理性波谱,而转移瘤强化区外则无病理性波谱脱髓鞘假瘤 中枢神经系统脱髓鞘疾病,青年女性多见,与感染或疫苗接种相关 临床表现:病程可长(1218个月)可短(1周至2个月)症状与病灶部位有关;发热少见 病理:大量泡沫状巨噬细胞浸润;伴有星形细胞增生;髓鞘缺失、轴索相对保留 部位:幕上脑室周围白质,也可累及皮质病灶增强后呈明显强化

展开阅读全文
相关资源
猜你喜欢
相关搜索

当前位置:首页 > 高等教育 > 大学课件

copyright@ 2008-2023 1wenmi网站版权所有

经营许可证编号:宁ICP备2022001189号-1

本站为文档C2C交易模式,即用户上传的文档直接被用户下载,本站只是中间服务平台,本站所有文档下载所得的收益归上传人(含作者)所有。第壹文秘仅提供信息存储空间,仅对用户上传内容的表现方式做保护处理,对上载内容本身不做任何修改或编辑。若文档所含内容侵犯了您的版权或隐私,请立即通知第壹文秘网,我们立即给予删除!