第14章分枝杆菌属.ppt

上传人:p** 文档编号:555037 上传时间:2023-10-31 格式:PPT 页数:30 大小:788.50KB
下载 相关 举报
第14章分枝杆菌属.ppt_第1页
第1页 / 共30页
第14章分枝杆菌属.ppt_第2页
第2页 / 共30页
第14章分枝杆菌属.ppt_第3页
第3页 / 共30页
第14章分枝杆菌属.ppt_第4页
第4页 / 共30页
第14章分枝杆菌属.ppt_第5页
第5页 / 共30页
第14章分枝杆菌属.ppt_第6页
第6页 / 共30页
第14章分枝杆菌属.ppt_第7页
第7页 / 共30页
第14章分枝杆菌属.ppt_第8页
第8页 / 共30页
第14章分枝杆菌属.ppt_第9页
第9页 / 共30页
第14章分枝杆菌属.ppt_第10页
第10页 / 共30页
亲,该文档总共30页,到这儿已超出免费预览范围,如果喜欢就下载吧!
资源描述

《第14章分枝杆菌属.ppt》由会员分享,可在线阅读,更多相关《第14章分枝杆菌属.ppt(30页珍藏版)》请在第壹文秘上搜索。

1、第十四章第十四章 分枝杆菌属分枝杆菌属 分枝杆菌属是一类细长微弯的细菌,因繁分枝杆菌属是一类细长微弯的细菌,因繁殖时有分枝生长趋势而得名。殖时有分枝生长趋势而得名。特点特点1、细胞壁含有大量的脂类、细胞壁含有大量的脂类2、菌体不易着色,不易脱色,故采用抗酸染、菌体不易着色,不易脱色,故采用抗酸染色,故又称抗酸杆菌色,故又称抗酸杆菌3、无特殊结构,也不产生内外毒素、无特殊结构,也不产生内外毒素4、所致感染多为慢性过程,破坏性病变所致感染多为慢性过程,破坏性病变5、种类多,对人致病的主要有结核分枝杆菌、种类多,对人致病的主要有结核分枝杆菌、非结核分枝杆菌、非结核分枝杆菌、麻风分枝杆菌麻风分枝杆菌

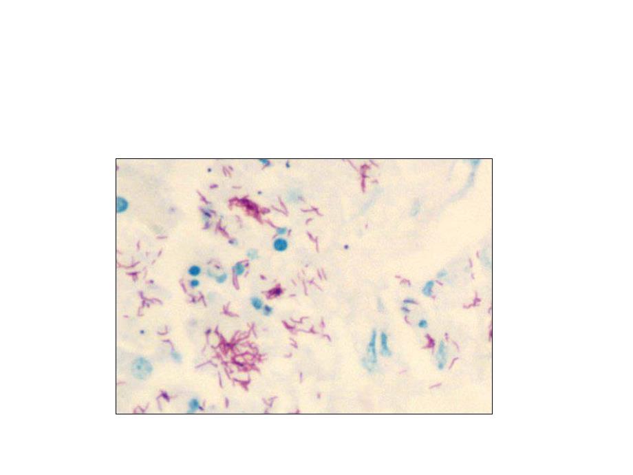
2、第一节第一节 结核分枝杆菌结核分枝杆菌生物学特性生物学特性形态染色:形态染色:菌体细长微弯,菌体细长微弯,有分枝,排列不规则,多单有分枝,排列不规则,多单个散在,易发生个散在,易发生L型,抗酸染型,抗酸染色阳性色阳性 结核分枝杆菌(结核杆菌)为结核病的病原体结核分枝杆菌(结核杆菌)为结核病的病原体n培养特性培养特性专性需氧,温度专性需氧,温度37,pH偏酸偏酸6.5-6.8营养要求高,罗氏培养基营养要求高,罗氏培养基(蛋黄、甘油、天门冬素、(蛋黄、甘油、天门冬素、马铃薯、无机盐、孔雀绿马铃薯、无机盐、孔雀绿等)等)生长缓慢,生长缓慢,18h分裂一次,分裂一次,2-4W形成形成R型菌落,型菌落,

3、“菜花样菌落菜花样菌落”,乳白色,乳白色干燥不透明,表面呈颗粒干燥不透明,表面呈颗粒结节,边缘不整结节,边缘不整n抵抗力强抵抗力强v抗干燥,抗酸碱,抗化学消毒剂抗干燥,抗酸碱,抗化学消毒剂v对湿热和紫外线敏感对湿热和紫外线敏感v对抗结核药(链霉素、异烟肼、利福平等)敏感,但对抗结核药(链霉素、异烟肼、利福平等)敏感,但易产生耐药性易产生耐药性n变异性变异性 结核杆菌多种性状可发生变异如:菌落变异、毒力变结核杆菌多种性状可发生变异如:菌落变异、毒力变异等。异等。v毒力变异:卡介苗:毒力变异:卡介苗:1908年两位科学家将有毒的牛年两位科学家将有毒的牛型分枝杆菌接种在含甘油、胆汁、马铃薯的培养基型

4、分枝杆菌接种在含甘油、胆汁、马铃薯的培养基中,经中,经13年年230代传代获得的减毒菌株,即卡介苗代传代获得的减毒菌株,即卡介苗(BCG)沿用至今。沿用至今。致病性和免疫性致病性和免疫性 结核杆菌无侵袭性酶,不产生内、外结核杆菌无侵袭性酶,不产生内、外毒素,其致病性主要由于毒素,其致病性主要由于n细菌繁殖引起炎症细菌繁殖引起炎症n菌体成分菌体成分n代谢产物毒性作用代谢产物毒性作用n抗体对菌体成分产生免疫病理损伤抗体对菌体成分产生免疫病理损伤致病物质致病物质菌体成分菌体成分 脂质脂质存在细胞壁,占菌体干重的存在细胞壁,占菌体干重的20-40%(1)磷脂)磷脂(2)脂肪酸(索状因子)脂肪酸(索状因

5、子)(3)蜡质)蜡质D(分枝菌酸分枝菌酸+肽糖脂)肽糖脂)(4)硫酸脑苷脂)硫酸脑苷脂作用:引起结核结节,慢性肉芽肿及组织细胞干酪样坏作用:引起结核结节,慢性肉芽肿及组织细胞干酪样坏死等病变死等病变n蛋白质蛋白质v重要的是结核菌素重要的是结核菌素v结核菌素结核菌素+蜡质蜡质D迟发型变态反应迟发型变态反应n多糖、核酸和荚膜多糖、核酸和荚膜n所致疾病所致疾病传染源:开放性肺结核病人痰传染源:开放性肺结核病人痰传播途径:呼吸道、消化道、皮肤黏膜传播途径:呼吸道、消化道、皮肤黏膜临床类型临床类型n肺部感染肺部感染(1)原发感染)原发感染常见儿童(外源性感染)常见儿童(外源性感染)结局结局机体抵抗力强机

6、体抵抗力强 形成结核结节形成结核结节纤维化纤维化钙化钙化自愈自愈(但病灶内常有细菌的潜伏)(但病灶内常有细菌的潜伏)机体抵抗力差机体抵抗力差 活动性肺结核活动性肺结核干酪样坏死干酪样坏死 全身播散全身播散粟粒样结核粟粒样结核肺泡渗出性炎症(原发灶)肺泡渗出性炎症(原发灶)肺门淋巴结(肿大)肺门淋巴结(肿大)沿淋巴管沿淋巴管扩散(炎症)扩散(炎症)原发综合症(哑铃型)原发综合症(哑铃型)特点:特异免疫没有建立,故局部病变较轻,但易扩散特点:特异免疫没有建立,故局部病变较轻,但易扩散(2)继发感染)继发感染常见成人(原发病灶常见成人(原发病灶内源性内源性感染)感染)特点:局部病变重,但不易扩散特点

7、:局部病变重,但不易扩散 一般局限于肺部,易发生干酪样坏死,可一般局限于肺部,易发生干酪样坏死,可形成空洞和开放性肺结核形成空洞和开放性肺结核n肺外感染肺外感染 肠结核,结核肠结核,结核性脑膜炎,皮肤结性脑膜炎,皮肤结核,肾结核,骨结核,肾结核,骨结核等核等n免疫力免疫力v人体对该菌人体对该菌有较强免疫有较强免疫力(感染率力(感染率高,发病率高,发病率低)低)v主要是细胞主要是细胞免疫(有菌免疫(有菌免疫)免疫)v细胞免疫与细胞免疫与迟发型超敏迟发型超敏反应并存反应并存结核菌素试验结核菌素试验n原理:根据上述两者同时存在的原理,用结核菌素原理:根据上述两者同时存在的原理,用结核菌素测定机体能否

8、发生迟发性超敏反应,以判断机体对测定机体能否发生迟发性超敏反应,以判断机体对结核有无免疫力结核有无免疫力n试剂试剂 旧结核菌素(旧结核菌素(OT)两种两种 纯蛋白衍生物(纯蛋白衍生物(PPD)PPDC,BCGPPDn方法:前臂皮肤注射,方法:前臂皮肤注射,48-72h后观察结果后观察结果n结果:结果:红肿硬结红肿硬结5mm,阳性(阳性(15mm,强阳性)强阳性)红肿硬结红肿硬结5mm,阴性阴性n意义意义n阳性:阳性:过去过去/BCG成功,有免疫力成功,有免疫力n强阳性:现在强阳性:现在 活动性活动性n阴性:阴性:无无/未接种未接种BCGn假阴性:假阴性:感染初期,老年人,严重结核合并其它传染感

9、染初期,老年人,严重结核合并其它传染病病使用免疫抑制剂使用免疫抑制剂艾滋病等免疫功能低下者艾滋病等免疫功能低下者微生物检查与防治微生物检查与防治n 微生物学检查微生物学检查 1 直接涂片染色观察,菌数少时需浓缩集菌直接涂片染色观察,菌数少时需浓缩集菌 2 分离培养鉴定及快速诊断分离培养鉴定及快速诊断n 防治防治 1 应用卡介苗预防接种应用卡介苗预防接种 2 治疗原则:早期、大量、长期、联合用药治疗原则:早期、大量、长期、联合用药 第三节第三节 麻风分枝杆菌麻风分枝杆菌 一、一、生物学特点生物学特点 其大小、形态、染色均与结核杆菌类似,其大小、形态、染色均与结核杆菌类似,但菌体略粗,多存在于细胞

10、内但菌体略粗,多存在于细胞内麻风细胞麻风细胞(有大量麻风杆菌存在的感染细胞,呈泡沫状(有大量麻风杆菌存在的感染细胞,呈泡沫状n目前体外人工培养尚未成功目前体外人工培养尚未成功n动物模型:犰狳动物模型:犰狳,对该菌高度易感,接种后,对该菌高度易感,接种后引起瘤型麻风引起瘤型麻风n人对该菌抵抗力强,接触者仅少数发病人对该菌抵抗力强,接触者仅少数发病二、致病性二、致病性 人类为唯一宿主和唯一传染源,致病因素不清人类为唯一宿主和唯一传染源,致病因素不清 传染源:病人(瘤型麻风病人通过皮肤黏膜及传染源:病人(瘤型麻风病人通过皮肤黏膜及外分泌液向外排菌)外分泌液向外排菌)传播途径:皮肤、黏膜、呼吸道及密切

11、接触传传播途径:皮肤、黏膜、呼吸道及密切接触传播(家庭内传播多见)播(家庭内传播多见)潜伏期:潜伏期:2-5年,长者数十年年,长者数十年 特点:潜伏期长,发病慢,病程长的慢性传染特点:潜伏期长,发病慢,病程长的慢性传染病病 n 麻风病变可分为四型:麻风病变可分为四型:n 瘤型麻风:瘤型麻风:(恶性麻风)(恶性麻风)侵犯部位:侵犯部位:皮肤黏膜、神经及内脏皮肤黏膜、神经及内脏 病变中大量麻风细胞病变中大量麻风细胞传染性强传染性强 分泌物中大量麻风杆菌分泌物中大量麻风杆菌开放性麻风开放性麻风 细胞免疫缺陷(麻风菌素试验阴性)细胞免疫缺陷(麻风菌素试验阴性)免疫状态免疫状态 体液免疫正常(抗原抗体复

12、合物沉积)体液免疫正常(抗原抗体复合物沉积)病变:肉芽肿,麻风结节病变:肉芽肿,麻风结节临床表现:临床表现:“狮面容狮面容”,病情严重,逐渐恶化。,病情严重,逐渐恶化。n结核样型麻风(良性麻风)结核样型麻风(良性麻风)60-70%v侵犯部位:皮肤、周围神经侵犯部位:皮肤、周围神经v传染性小传染性小病变处少见麻风细胞及麻风杆菌病变处少见麻风细胞及麻风杆菌v免疫状态:细胞免疫接近正常(麻风菌素试验阳性)免疫状态:细胞免疫接近正常(麻风菌素试验阳性)v病变:淋巴细胞上皮样细胞,巨噬细胞浸润病变:淋巴细胞上皮样细胞,巨噬细胞浸润v临床表现:临床表现:皮肤皮肤边缘清楚的红色斑疹边缘清楚的红色斑疹 由于细

13、胞浸润变粗、变硬由于细胞浸润变粗、变硬可触及可触及 外周神经外周神经 感觉功能障碍感觉功能障碍n界限类界限类n未定类未定类麻风杆菌侵犯神经系统麻风杆菌侵犯神经系统三三、微生物学检查、微生物学检查n直接涂片,结合病史可诊断直接涂片,结合病史可诊断n早期发现、早期隔离、联合用药治疗早期发现、早期隔离、联合用药治疗 第四节第四节 非结核分枝杆菌非结核分枝杆菌 除结核杆菌,麻风杆菌以外的分枝杆菌除结核杆菌,麻风杆菌以外的分枝杆菌n对酸、碱敏感,对常用抗结核药耐受对酸、碱敏感,对常用抗结核药耐受n多存在于环境中多存在于环境中n条件致病菌(机体抵抗力下降),主要引起条件致病菌(机体抵抗力下降),主要引起肺部结核样病变,皮肤溃疡,淋巴结炎等。肺部结核样病变,皮肤溃疡,淋巴结炎等。

展开阅读全文
相关资源
猜你喜欢
相关搜索

当前位置:首页 > 医学/心理学 > 病毒学

copyright@ 2008-2023 1wenmi网站版权所有

经营许可证编号:宁ICP备2022001189号-1

本站为文档C2C交易模式,即用户上传的文档直接被用户下载,本站只是中间服务平台,本站所有文档下载所得的收益归上传人(含作者)所有。第壹文秘仅提供信息存储空间,仅对用户上传内容的表现方式做保护处理,对上载内容本身不做任何修改或编辑。若文档所含内容侵犯了您的版权或隐私,请立即通知第壹文秘网,我们立即给予删除!