LAD心肌桥球囊扩张后夹层.docx

上传人:p** 文档编号:825039 上传时间:2024-03-15 格式:DOCX 页数:7 大小:221.98KB
下载 相关 举报
LAD心肌桥球囊扩张后夹层.docx_第1页
第1页 / 共7页
LAD心肌桥球囊扩张后夹层.docx_第2页
第2页 / 共7页
LAD心肌桥球囊扩张后夹层.docx_第3页
第3页 / 共7页
LAD心肌桥球囊扩张后夹层.docx_第4页
第4页 / 共7页
LAD心肌桥球囊扩张后夹层.docx_第5页
第5页 / 共7页
LAD心肌桥球囊扩张后夹层.docx_第6页
第6页 / 共7页
LAD心肌桥球囊扩张后夹层.docx_第7页
第7页 / 共7页
亲,该文档总共7页,全部预览完了,如果喜欢就下载吧!
资源描述

《LAD心肌桥球囊扩张后夹层.docx》由会员分享,可在线阅读,更多相关《LAD心肌桥球囊扩张后夹层.docx(7页珍藏版)》请在第壹文秘上搜索。

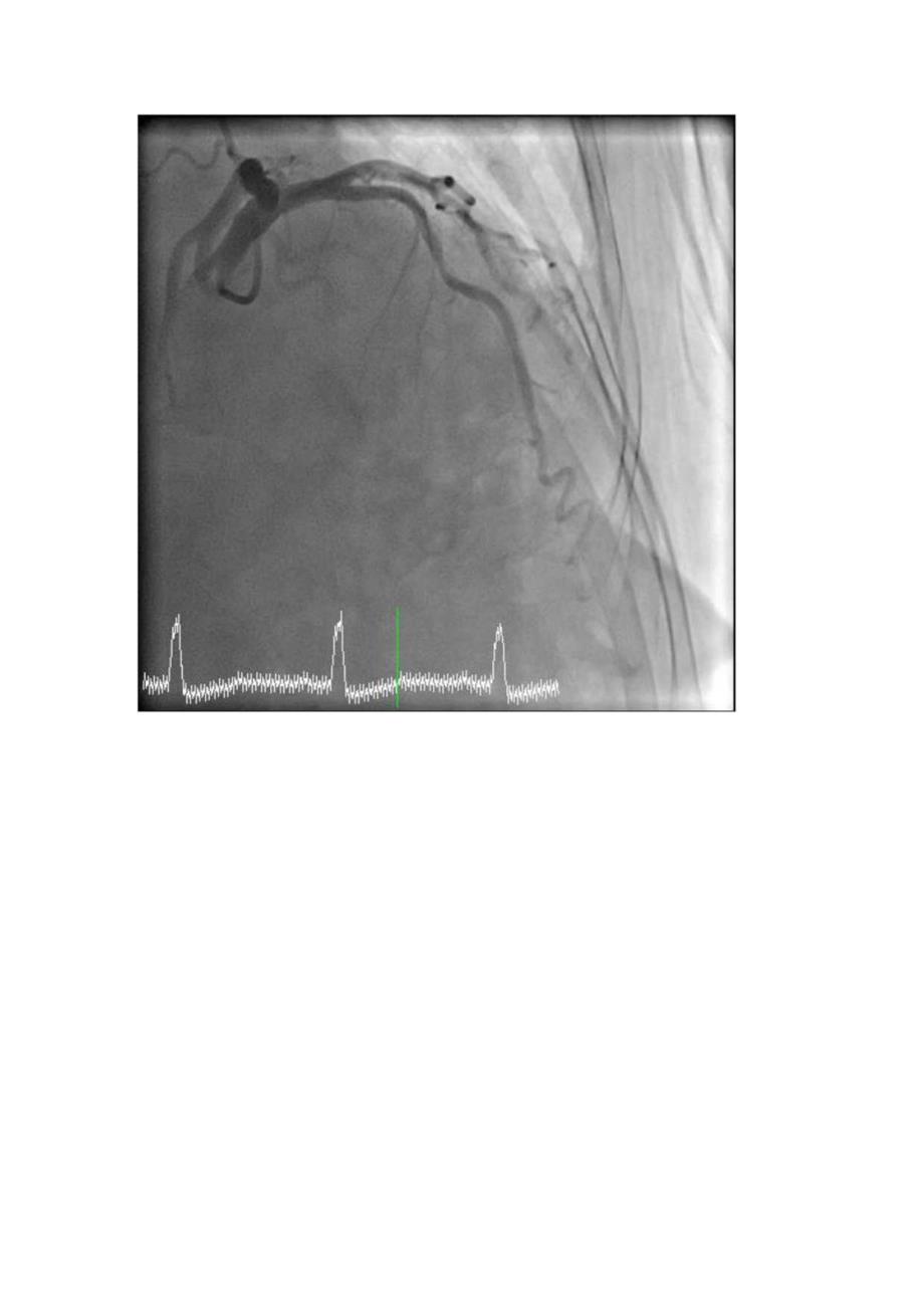
1、病史摘要:1.患者,女,79岁;2 .主诉:反复胸痛不适1月余3 .查体:神清、气平,全身皮肤未见黄染,全身浅表淋巴结未及肿大。双侧瞳孔等大等圆,对光反射存在。口唇无组,伸舌居中,颈软,气管居中,颈静脉无怒张,双侧呼吸音清,双肺未闻及干湿罗音。心率70次/分,律齐,未闻及病理性杂音,血压140/8OnmIHg。腹软,无压痛、无反跳痛。肝脾肋下未及。双下无肢浮肿。正常生理反射存在,病理反射未引出。4 .辅检:20190521于第一人民医院查CK-MB2.lngml,肌红蛋白63.3ngml,肌钙蛋白IV0.05ngml,20190523于我院查心电图示:窦性心律、I度房室传导阻滞、心室内阻滞、V

2、5V6导联ST段近似水平型压低0.5mm,20190623于我院查冠状动脉CT示:左冠前降支中段心肌桥,伴管腔重度狭窄。48小时主治医师诊断:冠心病不稳定心绞痛;高血压3级,很高危;脑梗个人史签名初步诊断:冠心病不稳定心绞痛;高血压3级,很高危;脑梗个人史初步诊断:冠心病不稳定心绞痛;高血压3级,很高危:脑梗个人史动脉造影结果初析:LM:未见明显狭窄,LAD:近中段85%狭窄,狭窄后心肌桥,LCX:优势,未见明显狭窄,RCA:中段管壁不规则。左心室造影:收缩功能可。主动脉根部造影:未见明显异常。介入治疗:对LAD病变血管行PCI。经鞘管插入6F导引导管,经导管送入Sion导丝,2.5*15mm球囊8atm预扩;3.0*2Omm药物球囊8atm扩张30s释放,再造影见残余10%狭窄。退出导管导丝,拔除动脉鞘管,无菌纱布覆盖,安返病房。术后处理详见医嘱。术中血动力学检测:血压:140/7OmmHg,心率:75次/分,主动脉压力:14065mmHg,血氧饱和度:100%。术中情况:患者无胸痛,无手术并发症。术后注意事项:注意患者胸闷胸痛症状,注意术后心电图、心梗三合一等变化,嘱患者静心休息。

展开阅读全文
相关资源
猜你喜欢
相关搜索

当前位置:首页 > 论文 > 医学论文

copyright@ 2008-2023 1wenmi网站版权所有

经营许可证编号:宁ICP备2022001189号-1

本站为文档C2C交易模式,即用户上传的文档直接被用户下载,本站只是中间服务平台,本站所有文档下载所得的收益归上传人(含作者)所有。第壹文秘仅提供信息存储空间,仅对用户上传内容的表现方式做保护处理,对上载内容本身不做任何修改或编辑。若文档所含内容侵犯了您的版权或隐私,请立即通知第壹文秘网,我们立即给予删除!