肺部病变的影像学诊断.ppt

上传人:p** 文档编号:139413 上传时间:2023-02-03 格式:PPT 页数:27 大小:6.64MB
下载 相关 举报
肺部病变的影像学诊断.ppt_第1页
第1页 / 共27页
肺部病变的影像学诊断.ppt_第2页
第2页 / 共27页
肺部病变的影像学诊断.ppt_第3页
第3页 / 共27页
肺部病变的影像学诊断.ppt_第4页
第4页 / 共27页
肺部病变的影像学诊断.ppt_第5页
第5页 / 共27页
肺部病变的影像学诊断.ppt_第6页
第6页 / 共27页
肺部病变的影像学诊断.ppt_第7页
第7页 / 共27页
肺部病变的影像学诊断.ppt_第8页
第8页 / 共27页
肺部病变的影像学诊断.ppt_第9页
第9页 / 共27页
肺部病变的影像学诊断.ppt_第10页
第10页 / 共27页
亲,该文档总共27页,到这儿已超出免费预览范围,如果喜欢就下载吧!
资源描述

《肺部病变的影像学诊断.ppt》由会员分享,可在线阅读,更多相关《肺部病变的影像学诊断.ppt(27页珍藏版)》请在第壹文秘上搜索。

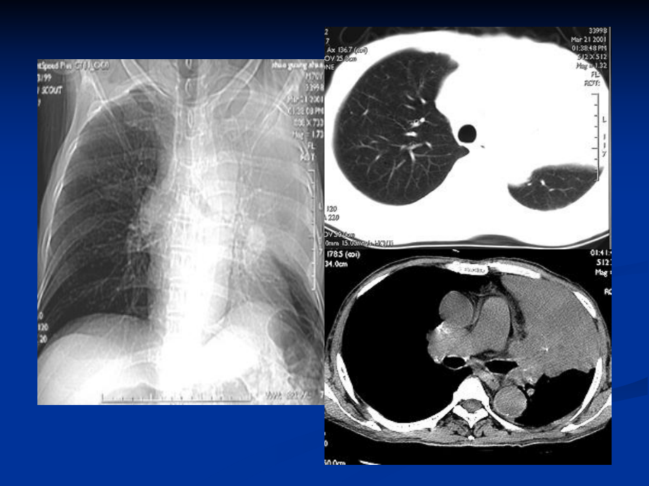
肺部疾病基本征象及分析肺部疾病基本征象及分析 CT值:-58HU恶性肿块恶性肿块支气管胸膜瘘合并脓胸

展开阅读全文
相关资源
猜你喜欢
相关搜索

当前位置:首页 > 医学/心理学 > 医学影像

copyright@ 2008-2023 1wenmi网站版权所有

经营许可证编号:宁ICP备2022001189号-1

本站为文档C2C交易模式,即用户上传的文档直接被用户下载,本站只是中间服务平台,本站所有文档下载所得的收益归上传人(含作者)所有。第壹文秘仅提供信息存储空间,仅对用户上传内容的表现方式做保护处理,对上载内容本身不做任何修改或编辑。若文档所含内容侵犯了您的版权或隐私,请立即通知第壹文秘网,我们立即给予删除!