黄体破裂与宫外孕破裂临床表现、病理生理及检查方法及鉴别.docx

上传人:p** 文档编号:858808 上传时间:2024-03-22 格式:DOCX 页数:7 大小:244.36KB
下载 相关 举报
黄体破裂与宫外孕破裂临床表现、病理生理及检查方法及鉴别.docx_第1页
第1页 / 共7页
黄体破裂与宫外孕破裂临床表现、病理生理及检查方法及鉴别.docx_第2页
第2页 / 共7页
黄体破裂与宫外孕破裂临床表现、病理生理及检查方法及鉴别.docx_第3页
第3页 / 共7页
黄体破裂与宫外孕破裂临床表现、病理生理及检查方法及鉴别.docx_第4页
第4页 / 共7页
黄体破裂与宫外孕破裂临床表现、病理生理及检查方法及鉴别.docx_第5页
第5页 / 共7页
黄体破裂与宫外孕破裂临床表现、病理生理及检查方法及鉴别.docx_第6页
第6页 / 共7页
黄体破裂与宫外孕破裂临床表现、病理生理及检查方法及鉴别.docx_第7页
第7页 / 共7页
亲,该文档总共7页,全部预览完了,如果喜欢就下载吧!
资源描述

《黄体破裂与宫外孕破裂临床表现、病理生理及检查方法及鉴别.docx》由会员分享,可在线阅读,更多相关《黄体破裂与宫外孕破裂临床表现、病理生理及检查方法及鉴别.docx(7页珍藏版)》请在第壹文秘上搜索。

1、黄体破裂与宫外孕破裂临床表现、病理生理及检查方法及鉴别卵巢黄体破裂与宫外孕破裂是妇产科常见急腹症,起病急,以腹痛为主要症状,常为撕裂样或阵发性,通常可引起腹盆腔大量积血,如不及时作出诊断并治疗,会引起失血性休克等情况,危及生命。卵巢黄体破裂与宫外孕破裂两者的临床特征和超声诊断有很多相似之处,容易造成误诊。今天和大家分享一下超声如何鉴别两者。卵巢黄体破裂病理生理女性在青春期以后,卵巢内卵泡随月经周期发生周期性的变化。在排卵后,卵泡壁塌陷,泡膜内血管破裂,血液流入腔内凝成血块而形成血体。卵泡壁的破口很快被纤维蛋白封闭而修复,血被吸收而形成黄体。黄体发育增大,为成熟黄体。如果排出的卵子未受精或着床,

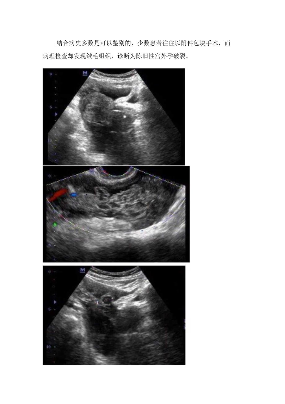
2、黄体萎缩,萎缩的黄体于8周.10周后细胞变性,组织纤维化而成疤痕状,称为白体。黄体囊肿是黄体在形成过程中黄体血肿液化所致,其直径一般可达3cm,有时可达8cm或更大,较大的黄体囊肿可能自发破裂,发生急腹症,酷似宫外孕破裂表现。临床表现患者均表现不同程度的急性腹痛症状,部分伴恶心、呕吐、发热、休克等症状,超声检查子宫后方均有多少不等的游离液体。检查方法及内容适度充盈膀胱后经腹超声检查,全面扫查子宫及附件区,观察附件区有无囊性包块,双侧输卵管及盆腔有无积液,宫腔内有无异常回声,同时扫查肾、输尿管及腹腔,排除泌尿系及腹腔病变,发现有盆腔积液者,再检查血常规和血尿HCG等相关检查。两者超声观察内容黄体

3、破裂观察内容膀胱适度充盈,仰卧位,灰阶超声对盆腔进行全面观察,对肿物记录大小形态、内部回声特点等情况,之后采用多普勒观察肿块周边血管结构,并对肿块的血管进行多点采样,获得清晰的脉冲多普勒血流频谱。黄体破裂超声表现主要为子宫直肠陷窝、盆腔等部位可见液性暗区,多少不等,液体多时在子宫周围也可见液性暗区,部分患者可见输卵管积液,盆腔内多无明显肿块,子宫大小形态正常,宫腔内多无明显异常。患者无停经史,无不孕史,腹痛多发生在月经之前,尿HCG阴性,结合临床本病一般可作出诊断。宫外孕破裂观察内容宫外孕超声表现为附件区混合回声包块,部分可见孕囊,其内可见胚芽;盆腔有游离液体;子宫增大,部分宫腔内可见假孕囊,

4、有闭经史,尿HCG阳性。超声鉴别经验宫外孕与黄体破裂在临床及其他检查方面没有明显的特异性,往往出现误诊或漏诊。在检查时细致分析,两者表现仍有所区别:黄体破裂超声表现以盆腔液体为主,附件区包块较少;而宫外孕超声表现以附件分布不均匀的杂乱的混合回声包块伴盆腔游离液体为主,这是由于异位的妊娠囊破裂口有反复出血,以后孕卵死亡,内出血停止形成肿块,凝血块机化,与周围组织粘连甚至包裹所致。结合病史多数是可以鉴别的,少数患者往往以附件包块手术,而病理检查却发现绒毛组织,诊断为陈旧性宫外孕破裂。1.THIlI川IillHhIlIiIInhlIIInIlllInllIllIllIlIlIIIIIilII二,黄体破裂

展开阅读全文
相关资源
猜你喜欢
相关搜索

当前位置:首页 > 论文 > 医学论文

copyright@ 2008-2023 1wenmi网站版权所有

经营许可证编号:宁ICP备2022001189号-1

本站为文档C2C交易模式,即用户上传的文档直接被用户下载,本站只是中间服务平台,本站所有文档下载所得的收益归上传人(含作者)所有。第壹文秘仅提供信息存储空间,仅对用户上传内容的表现方式做保护处理,对上载内容本身不做任何修改或编辑。若文档所含内容侵犯了您的版权或隐私,请立即通知第壹文秘网,我们立即给予删除!