少突胶质细胞瘤.ppt

上传人:p** 文档编号:621147 上传时间:2023-12-10 格式:PPT 页数:26 大小:1.95MB
下载 相关 举报
少突胶质细胞瘤.ppt_第1页
第1页 / 共26页
少突胶质细胞瘤.ppt_第2页
第2页 / 共26页
少突胶质细胞瘤.ppt_第3页
第3页 / 共26页
少突胶质细胞瘤.ppt_第4页
第4页 / 共26页
少突胶质细胞瘤.ppt_第5页
第5页 / 共26页
少突胶质细胞瘤.ppt_第6页
第6页 / 共26页
少突胶质细胞瘤.ppt_第7页
第7页 / 共26页
少突胶质细胞瘤.ppt_第8页
第8页 / 共26页
少突胶质细胞瘤.ppt_第9页
第9页 / 共26页
少突胶质细胞瘤.ppt_第10页
第10页 / 共26页
亲,该文档总共26页,到这儿已超出免费预览范围,如果喜欢就下载吧!
资源描述

《少突胶质细胞瘤.ppt》由会员分享,可在线阅读,更多相关《少突胶质细胞瘤.ppt(26页珍藏版)》请在第壹文秘上搜索。

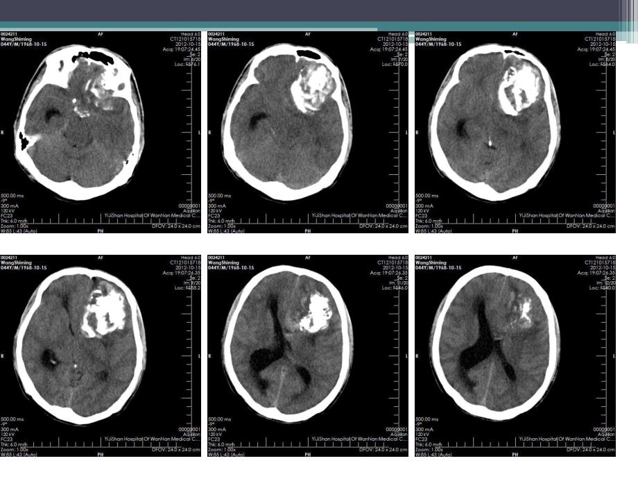
1、病例1男,44岁。主诉:头晕十余天,加重一天。查体:神清,嗜睡,四肢肌力IV级,余无 特殊。病理诊断:病理诊断:(左侧额叶)间变型少突胶质星形细胞瘤(相当于WHO 级)。免疫组化标记结果,瘤细胞:LCA(-)、AE1/AE3(-)、p53(-)、EMA(-)、S-100(+)、CD34(-)、GFAP(+)、PR(-)、Ki-67:5%(+)。概念:概念:2007年WHO颁布的分类方法巾,少突胶质细胞起源的肿瘤(oligodendroglial tumours)属于神经上皮性肿瘤,分为少突胶质细胞瘤(oligodendroglioma,grade II)和间变性少突胶质细胞瘤(anaplast

2、icoligodendroglioma,grade)。少突胶质细胞起源的肿瘤占成人脑胶质瘤的33%,是继多形性胶质母细胞瘤之后,第二位的成人脑胶质瘤。相对于同级别的星形细胞瘤而言,少突胶质细胞瘤的临床过程较长,预后较好。85%位于幕上,好发于额叶,表浅部位 发病高峰3545岁,病程较长 男性稍多于女性 临床表现:病人以长时间局灶性癫痫为首发症状,其他症状和体征以肿瘤的发生部位而定。病理特征:病理特征:镜下肿瘤细胞呈蜂窝状,细胞大小、形态相似,排列均匀一致,细胞核呈规则球形,核周透明空泡环绕形成“煎蛋样”形态,间质少,间质内散布丰富的树杈样或鹿角样血管,常有钙化,常发生于肿瘤血管壁上,亦可发生于

3、肿瘤内或瘤外组织。影像学表现:CT:平扫平扫多数呈低密度,少数略高 钙化多见,典型者表现为弯曲条状钙化灶占肿瘤大部 囊变、出血少见 占位效应轻,无水肿或轻度水肿增强增强大多数无强化,少数轻度强化MRIMRI平扫平扫长或等T1长T2 钙化在T1/T2上均呈低信号 肿瘤多为圆形或椭圆形,边界清楚,瘤周水肿无或轻度,占位效应轻。增强增强无或轻度强化鉴别诊断鉴别诊断 血管母细胞瘤:平扫很难鉴别,增强明显。MR可见血管留空效应?钙化?毛细胞型星形细胞瘤:常发生于颞叶,囊变多见。节细胞瘤:常发生于颞叶,囊变、钙化常见。脑膜瘤 室管膜瘤病例2男,70岁。主诉:记忆力减退待查。查体:神清,精神可。病理结果:病

4、理结果:(三脑室内)间变型少突星形细胞瘤(以星形细胞为主)WHOIII级。免疫组化标记结果(201301019):瘤细胞 AE1/AE3(-)、EMA(-)、GFAP(+)、S-1OO(+)、CgA(-)、Syn(+)、CD56(+)、CD99(+)、NF(-)、Ki67:50%(+)。讨论讨论 生长部位不典型;形态与海绵状血管瘤难以鉴别。混合性胶质瘤(Mixed gliomas)为起自神经上皮组织的一组肿瘤,由于包含了多种肿瘤性胶质细胞,其生物学特性及预后均不同于其他种类的纯胶质细胞瘤,术前诊断非常重要。但其影像学表现多样,国内外相关文献报道很少,使术前诊断较难。病理上将含有两种或两种以上的

5、胶质细胞肿瘤称为混合性胶质瘤。其包含的肿瘤细胞成分包括少突胶质细胞、室管膜细胞、星形细胞。按照以主要细胞成分作为诊断的原则,一些以某一胶质成分为主的肿瘤被诊断为纯胶质瘤,但当两种或多种肿瘤细胞成分比例近似时,考虑混合性胶质瘤,如:少突-星形细胞瘤,间变性少突-星形细胞瘤。少突-星形细胞混合性胶质瘤可发生于脑内的任何部位但以额叶最常见,其次为颞、顶叶,偶见于幕下和脑室内。肿瘤通常体积较大常跨脑叶生长。肿瘤位置表浅,多同时累及皮髓质。易于向皮质表面生长致脑回粗大肿胀,脑沟变浅。肿瘤可表现为两种形态:局限性或弥漫性。前者呈边界清楚的局限性肿块,常有假包膜,周围水肿较轻,占位不明显;后者则为弥漫性生长

6、,常累及多个脑叶,边缘不清,水肿及占位明显。肿瘤的内部结构亦呈现两种影像学特征:囊实混合性或实体性。增强后无明显强化或仅有轻度强化。鉴别诊断:鉴别诊断:1、同级别的纯星形细胞肿瘤比较,混合性胶质瘤的位置更表浅,易累及大脑皮质,肿瘤边界较清,钙化更常见。2、纯少突胶质细胞瘤:混合性胶质瘤往往瘤体较大,钙化常不规则,囊变更多见。纯少突胶质细胞瘤囊变少见,钙化常呈典型弯曲条带状钙化,水肿较轻微;有助于两者的鉴别。3、脑炎:病毒性脑炎MR表现特点:病灶往往为双侧、多发,可累及大小脑半球各部位,皮层及白质均可受累,病灶可表现为片状及团片状,一般无占位效应,增强扫描可有多种表现。颞叶有占位效应且临床表现不典型的病毒性脑炎与偏良性胶质瘤的区别常较困难,磁共振波谱(MRS)能够提供重要的信息,其准确率可达 95%以上。结合常规磁共振表现更能够增加诊断的准确性。4、淋巴瘤:表现1加权多呈等或稍低信号、2加权信号不高,呈等、低或稍高信号;增强扫描呈单个或多发团块状均匀强化;病灶轮廓清楚,边缘可见脐样切迹;病灶周围见轻度水肿,水肿范围与病灶大小呈不一致性;病变占位效应多较轻微;病灶多位于脑室周围,常靠近中线分布。

展开阅读全文
相关资源
猜你喜欢
相关搜索

当前位置:首页 > 医学/心理学 > 肿瘤学

copyright@ 2008-2023 1wenmi网站版权所有

经营许可证编号:宁ICP备2022001189号-1

本站为文档C2C交易模式,即用户上传的文档直接被用户下载,本站只是中间服务平台,本站所有文档下载所得的收益归上传人(含作者)所有。第壹文秘仅提供信息存储空间,仅对用户上传内容的表现方式做保护处理,对上载内容本身不做任何修改或编辑。若文档所含内容侵犯了您的版权或隐私,请立即通知第壹文秘网,我们立即给予删除!