ITP特异诊断与定向干预.ppt

上传人:p** 文档编号:626480 上传时间:2023-12-12 格式:PPT 页数:29 大小:1.87MB
下载 相关 举报
ITP特异诊断与定向干预.ppt_第1页
第1页 / 共29页
ITP特异诊断与定向干预.ppt_第2页
第2页 / 共29页
ITP特异诊断与定向干预.ppt_第3页
第3页 / 共29页
ITP特异诊断与定向干预.ppt_第4页
第4页 / 共29页
ITP特异诊断与定向干预.ppt_第5页
第5页 / 共29页
ITP特异诊断与定向干预.ppt_第6页
第6页 / 共29页
ITP特异诊断与定向干预.ppt_第7页
第7页 / 共29页
ITP特异诊断与定向干预.ppt_第8页
第8页 / 共29页
ITP特异诊断与定向干预.ppt_第9页
第9页 / 共29页
ITP特异诊断与定向干预.ppt_第10页
第10页 / 共29页
亲,该文档总共29页,到这儿已超出免费预览范围,如果喜欢就下载吧!
资源描述

《ITP特异诊断与定向干预.ppt》由会员分享,可在线阅读,更多相关《ITP特异诊断与定向干预.ppt(29页珍藏版)》请在第壹文秘上搜索。

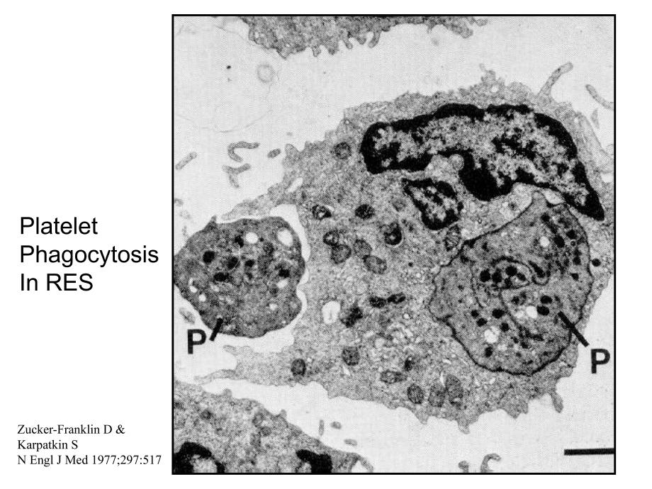
1、特发性血小板减少性紫癜特发性血小板减少性紫癜特异诊断与定向干预特异诊断与定向干预In 1951 Dr William Harrington infused himself with plasma from an ITP patient and developed severe but transient thrombocytopeniaSince then platelet destruction in ITP is believed to be mediated by platelet autoantibodies Idiopathic thrombocytopenic purpura(IT

2、P)Harrington et alJ Lab Clin Med 38:1,1951Zucker-Franklin D&Karpatkin SN Engl J Med 1977;297:517PlateletPhagocytosisIn RES特发性血小板减少性紫癜特发性血小板减少性紫癜(Idiopathic thrombocytopenic purpura,ITP)发病:约占出血性疾病发病:约占出血性疾病30%30%。女。女男男 体征:皮肤粘膜出血、月经多、内脏颅内出血。体征:皮肤粘膜出血、月经多、内脏颅内出血。诊断:排除性诊断:排除性 治疗:非特异,有效率治疗:非特异,有效率60-70%6

3、0-70%ITPITP诊断现状诊断现状 临床排除性诊断临床排除性诊断 PAIgG不能区分免疫与非免疫性血小板减少不能区分免疫与非免疫性血小板减少Non-specificITPITP抗原抗原特异性诊断实验特异性诊断实验 单抗俘获血小板抗原法单抗俘获血小板抗原法 MAIPAMAIPA (MoAb immobilization of platelet antigen assay)Kiefel V.Transfus Med 1992;2:181-8 MAIPAMAIPA阳性与阳性与ITPITP诊断符合率达诊断符合率达92%。McMillan R,et al.Curr Hematol Rep 2005;

4、4:160-5 能区分免疫与非免疫性血小板减少能区分免疫与非免疫性血小板减少 Specific MAIPA vs PAIgG_ 特异性特异性 敏感性敏感性_PAIgG 20%90%MAIPAMAIPA 92%47-66%_ McMillan R,et al.Curr Hematol Rep 2005;4:160-5 MAIPAMAIPA原理原理羊抗鼠IgGMoAb-GPGP自身抗体IgG-GP人抗鼠人抗鼠IgGIgG酶标二抗酶标二抗ITPITP抗原抗原特异性诊断特异性诊断 改良 MAIPA:祛除人抗鼠异种抗体Hou M,et al.Eur J Haematol 2003;70:353-7Hou

5、 M,et al.Thromb Res 2003;110:1-5 直接 MAIPA:血小板洗脱液代替血浆芦璐,等。中华血液学杂志 2003;24:477-9秦平,等。中华血液学杂志 2005;26;167-9 增加MAIPA抗原谱:GPIIb/IIIa,GPIb/IX,GPIa/IIa,GPIV,GPV,GPVI张海燕,等。中华血液学杂志 2004;25:509-10 建立MAIPA过筛实验:血小板抗体免疫流式检测法(PAICA)改良MAIPAMAIPA的效果的效果_ 敏感性增强敏感性增强_改良MAIPAMAIPA3%直接MAIPAMAIPA10%增加MAIPA抗原谱 10%建立MAIPA过筛

6、实验10%合计合计 33%_Hou M,et al.Eur J Haematol 2003;70:353-7Hou M,et al.Thromb Res 2003;110:1-5芦璐,等。中华血液学杂志芦璐,等。中华血液学杂志 20032003;2424:477-9477-9张海燕,等。中华血液学杂志张海燕,等。中华血液学杂志 20042004;2525:509-10509-10秦平,等。中华血液学杂志秦平,等。中华血液学杂志 20052005;26;167-926;167-9改良改良MAIPA的效果的效果_ 特异性特异性 敏感性敏感性_Indirct MAIPA90%50%Direct MA

7、IPADirect MAIPA 95%80%(modified)_芦璐,等。中华血液学杂志 2003;24:477-9张海燕,等。中华血液学杂志 2004;25:509-10秦平,等。中华血液学杂志 2005;26;167-9ITPITP治疗现状治疗现状 一线治疗一线治疗:糖皮质激素糖皮质激素 二线治疗二线治疗:脾切除脾切除 抢救抢救:血小板输注、血小板输注、IVIgsIVIgs、rhTPOrhTPO、FVIIaFVIIa Non-specific难治性难治性ITPITP的非常规治疗的非常规治疗 FcrR-blocking Agents:IvIg,Anti-D,MDX-33 Immunosup

8、presents:VCR,CTX Anti-B cell:Rituxan Anti-T cell:Campath-1h,ATG,MMF,HDDex Anti-CD40L:Anti-CD154 B7-blocking Agents:CTLA4-Ig,CsA Thrombopoietic Agents:TPO&its analogsIndividualizationIndividualizationITPITP主要发病机制主要发病机制 自身抗体致敏的血小板被单核巨噬细胞清除。自身抗体致敏的血小板被单核巨噬细胞清除。Cines DE.N ENGL J MED 2002;346:995-1008 HD

9、DexHDDex 治疗治疗ITPITP疗效肯定疗效肯定。Cheng Y.N ENGL J MED 2003;349:831-6秦平,等。中华内科杂志 2005;44:293-6 封闭封闭FcRFcR减少血小板破坏。减少血小板破坏。Cooper N,et al.Br J Haematol.2004;124:511-8.ITPITP机制进展(机制进展(I)自身抗体致敏巨核细胞,导致巨核细胞成熟障碍,血自身抗体致敏巨核细胞,导致巨核细胞成熟障碍,血小板生成减少。小板生成减少。McMillan R,et al.Blood 2004;103:1364-9 HDDex 治疗治疗ITP疗效肯定疗效肯定。Ch

10、eng Y.N ENGL J MED 2003;349:831-6秦平,等。中华内科杂志中华内科杂志 2005;44:293-6 TPO类似物治疗类似物治疗ITP显示初步疗效。显示初步疗效。Bussel JB,et al.Blood 2003;102:86a赵永强,等。中华内科杂志中华内科杂志 2004;8:608-10 ITPITP机制进展(机制进展(II)阻断共刺激信号诱导阻断共刺激信号诱导T T 细胞免疫耐受细胞免疫耐受.体内疗效与其体外敏感性试验一致。体内疗效与其体外敏感性试验一致。Peng J,et al.Blood 2003;101:2721-6 人源化人源化CD154CD154单

11、抗单抗I I期临床试验显效。期临床试验显效。Kuwana M,et al.Blood 2004;103:1229-36 ITPITP机制进展(机制进展(III)细胞毒细胞毒T细胞(细胞(CTL)和)和NK细胞直接杀伤血小板。细胞直接杀伤血小板。Olsson B,et al.NAT MED 2003;9:1123-4 霉酚酸酯(霉酚酸酯(MMF)下调血小板特异性)下调血小板特异性T细胞水平细胞水平.Hou M.Eur J Haematol 2003;70:353-7 ITPITP机制进展(机制进展(IV)血小板抗原特异性血小板抗原特异性Th细胞凋亡受阻。细胞凋亡受阻。Olsson B.Throm

12、b Haemost 2005;93:139-44 HDDexHDDex 治疗治疗ITPITP疗效肯定疗效肯定。秦平,等。中华内科杂志中华内科杂志 2005;44:293-6ITPITP免疫机制判定实验免疫机制判定实验MAIPA体液免疫机制体液免疫机制血小板破坏过多血小板破坏过多Megakaryocyte proliferation assay体液免疫机制体液免疫机制血小板生成减少血小板生成减少Autologous platelet lysis test细胞免疫机制细胞免疫机制直接杀伤血小板直接杀伤血小板Identification of platelet-reactive T cell 细胞免

13、疫机制细胞免疫机制免疫失耐受免疫失耐受In vitro Th apoptosis assay 细胞免疫机制细胞免疫机制ThTh细胞凋亡受阻细胞凋亡受阻ITPITP定向干预(定向干预(I I)MAIPAMAIPA体液免疫机制体液免疫机制致敏血小板破坏过多致敏血小板破坏过多定向干预方案定向干预方案:Anti-CD20Anti-CD20MDX-33MDX-33ITPITP定向干预(定向干预(II II)Megakaryocyte proliferation assayMegakaryocyte proliferation assay体液免疫机制体液免疫机制致敏巨核细胞增殖障碍,致敏巨核细胞增殖障碍,

14、血小板生成减少。血小板生成减少。定向干预方案:定向干预方案:Anti-CD20Anti-CD20rhTPO rhTPO 类似物类似物 或或 rhIL-11rhIL-11 ITPITP定向干预(定向干预(IIIIII)Autologous platelet lysis testAutologous platelet lysis test细胞免疫机制细胞免疫机制CTL/NKCTL/NK细胞直接杀伤血小板细胞直接杀伤血小板定向干预方案:定向干预方案:MMFMMF Campath-1hCampath-1hATG/ALGATG/ALGANTI-CD3ANTI-CD3 ITPITP定向干预(定向干预(IV

15、IV)Tolerance-reinductionTolerance-reinduction细胞免疫机制细胞免疫机制阻断共刺激信号,诱阻断共刺激信号,诱 导导T T、B B细胞耐受。细胞耐受。定向干预方案:定向干预方案:CTLA-4IgCTLA-4Ig Anti-CD154Anti-CD154CsACsAITPITP定向干预(定向干预(V V)Decreased Th cell apoptosisDecreased Th cell apoptosis 细胞免疫机制细胞免疫机制促进促进ThTh细胞凋亡细胞凋亡定向干预方案:定向干预方案:HDDexHDDex护士站护士站百级层流室百级层流室层流室探视走廊层流室探视走廊普通病房普通病房流式细胞仪流式细胞仪细胞遗传室细胞遗传室止血血栓室止血血栓室细胞培养室细胞培养室

展开阅读全文
相关资源
猜你喜欢
相关搜索

当前位置:首页 > 医学/心理学 > 内科学

copyright@ 2008-2023 1wenmi网站版权所有

经营许可证编号:宁ICP备2022001189号-1

本站为文档C2C交易模式,即用户上传的文档直接被用户下载,本站只是中间服务平台,本站所有文档下载所得的收益归上传人(含作者)所有。第壹文秘仅提供信息存储空间,仅对用户上传内容的表现方式做保护处理,对上载内容本身不做任何修改或编辑。若文档所含内容侵犯了您的版权或隐私,请立即通知第壹文秘网,我们立即给予删除!