呼吸机所致肺损伤与肺保护性通气策略.ppt

上传人:p** 文档编号:654641 上传时间:2024-01-02 格式:PPT 页数:88 大小:5.06MB
下载 相关 举报
呼吸机所致肺损伤与肺保护性通气策略.ppt_第1页
第1页 / 共88页
呼吸机所致肺损伤与肺保护性通气策略.ppt_第2页
第2页 / 共88页
呼吸机所致肺损伤与肺保护性通气策略.ppt_第3页
第3页 / 共88页
呼吸机所致肺损伤与肺保护性通气策略.ppt_第4页
第4页 / 共88页
呼吸机所致肺损伤与肺保护性通气策略.ppt_第5页
第5页 / 共88页
呼吸机所致肺损伤与肺保护性通气策略.ppt_第6页
第6页 / 共88页
呼吸机所致肺损伤与肺保护性通气策略.ppt_第7页
第7页 / 共88页
呼吸机所致肺损伤与肺保护性通气策略.ppt_第8页
第8页 / 共88页
呼吸机所致肺损伤与肺保护性通气策略.ppt_第9页
第9页 / 共88页
呼吸机所致肺损伤与肺保护性通气策略.ppt_第10页
第10页 / 共88页
亲,该文档总共88页,到这儿已超出免费预览范围,如果喜欢就下载吧!
资源描述

《呼吸机所致肺损伤与肺保护性通气策略.ppt》由会员分享,可在线阅读,更多相关《呼吸机所致肺损伤与肺保护性通气策略.ppt(88页珍藏版)》请在第壹文秘上搜索。

1、呼吸机所致肺损伤与呼吸机所致肺损伤与肺保护性通气策略肺保护性通气策略急性肺损伤急性肺损伤/急性呼吸窘迫综合征急性呼吸窘迫综合征(ALI/ARDS)非心源性肺水肿,肺泡大量萎陷非心源性肺水肿,肺泡大量萎陷 严重肺内严重肺内分流及通气分流及通气/血流比例失调,血流比例失调,临床表现为不易临床表现为不易缓解的急性进行性缺氧性呼吸衰竭缓解的急性进行性缺氧性呼吸衰竭 能有效通气的肺泡减少,病变不均匀能有效通气的肺泡减少,病变不均匀 容易容易发生呼吸机相关肺损伤发生呼吸机相关肺损伤呼吸机所致肺损伤(呼吸机所致肺损伤(VILI)的概念)的概念 肺气压伤(肺气压伤(barotrauma)肺容积伤(肺容积伤(v

2、olutrauma)肺萎陷伤(肺萎陷伤(atelectrauma)肺生物伤(肺生物伤(biotrauma)Left:normal lung Middle:after 5 minutes at 45 cmH2O pressure Right:after 20 minutes at 45 cmH2O pressure容积伤的病理容积伤的病理-生理生理 肺泡上皮和肺血管内皮的损伤肺泡上皮和肺血管内皮的损伤 弥漫性肺泡损伤(弥漫性肺泡损伤(DADDAD)肺泡上皮和肺血管内皮通透性肺泡上皮和肺血管内皮通透性 气体漏出气体漏出VILIVILI的危险因素的危险因素 肺组织病理呈坏死性改变肺组织病理呈坏死性改

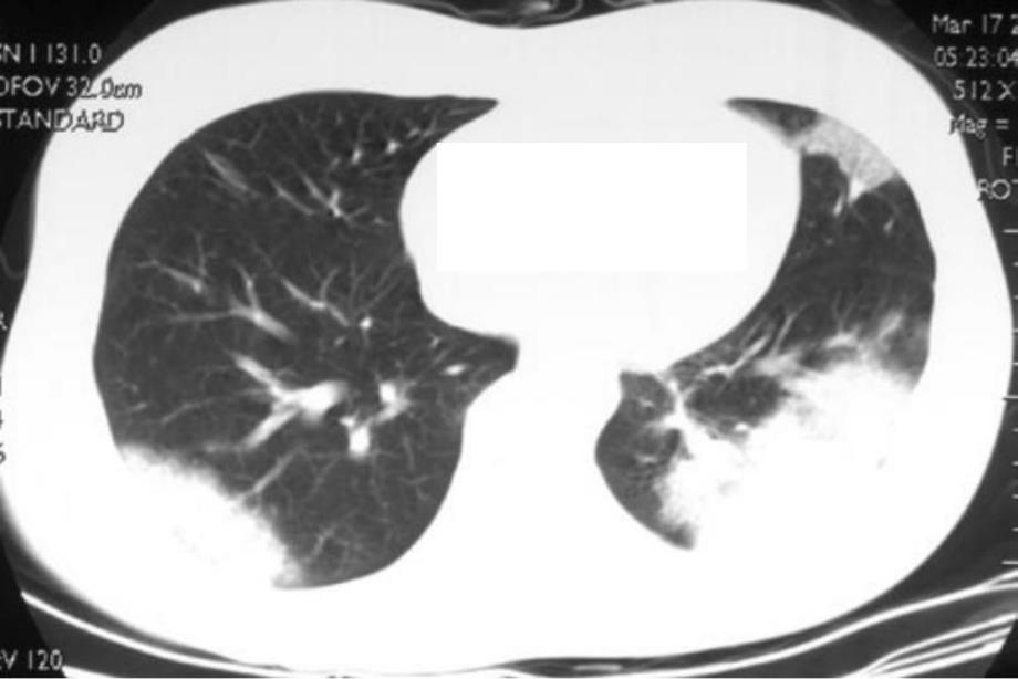
3、变 肺实质病变的不均一性肺实质病变的不均一性 通气量的大小通气量的大小 峰压切换过大峰压切换过大 平均肺泡压过高平均肺泡压过高 通气频率通气频率 通气的时间通气的时间 分泌物滞留分泌物滞留VILIVILI的诊断的诊断 警惕:认识高危因素警惕:认识高危因素 尤其在人尤其在人-机协调较差时机协调较差时 查体查体 X X-线征象线征象 标记物标记物肺保护性肺保护性 通气策略通气策略 避免潮气量过大:小潮气量通气避免潮气量过大:小潮气量通气(限压限压)避免终末气道的反复开闭:避免终末气道的反复开闭:PEEPPEEP的应用的应用CT scan at 0 cmH2O PEEP(A),and at 15 c

4、mH2O PEEP(B)of a patient with A R D S e x p d u e t o s e p s i s 容积控制通气的呼吸力学曲线容积控制通气的呼吸力学曲线气道峰压(气道峰压(PD)的影响因素)的影响因素 吸气流速吸气流速 气道阻力气道阻力 潮气量潮气量 胸肺顺应性胸肺顺应性 呼气末正压(呼气末正压(PEEP)内源性呼气末正压(内源性呼气末正压(PEEPiPEEPi)平台压(平台压(PS)的影响因素的影响因素 潮气量潮气量 胸肺顺应性胸肺顺应性 PEEPPEEP 内源性呼气末正压(内源性呼气末正压(PEEPiPEEPi)流速或气道阻力流速或气道阻力对气道对气道 峰压

5、产生峰压产生影响,但对平台影响,但对平台压无影响压无影响顺应性的变化对顺应性的变化对气道峰压和平台气道峰压和平台压都产生相同影压都产生相同影响响虚点面积在特定的时间间隔上所计算的压力相加求其均数即平均气道压虚点面积在特定的时间间隔上所计算的压力相加求其均数即平均气道压平均气道压平均气道压(Pmean)数个周期中气道压的平均值数个周期中气道压的平均值 与影响与影响P PD D的因素及吸气时间长短有关的因素及吸气时间长短有关 近似于平均肺泡压近似于平均肺泡压 其大小与对心血管系统的影响直接相关其大小与对心血管系统的影响直接相关静态压力容积曲线(静态压力容积曲线(P-VP-V曲线)曲线)大注射器法大

6、注射器法(super-syringe method)(super-syringe method)呼吸机法呼吸机法(ventlator method)(ventlator method)低流速法低流速法(low constant flow method)(low constant flow method)PV曲线存在的问题和注意事项曲线存在的问题和注意事项 最佳最佳PEEPPEEP是一平均值,相对于大多数肺泡而言是一平均值,相对于大多数肺泡而言为为 “最佳最佳”部分病人找不到低位拐点或水平较低部分病人找不到低位拐点或水平较低 胸壁顺应性对胸壁顺应性对P PV V曲线的影响曲线的影响 在肌松状态下

7、进行测量在肌松状态下进行测量 动态监测动态监测合理应用合理应用PV曲线曲线 建立规范的监测方法建立规范的监测方法 认识认识P-V曲线可能存在的问题曲线可能存在的问题 综合以下方法以弥补综合以下方法以弥补PV曲线的不足曲线的不足 最大顺应性曲线最大顺应性曲线 氧合指数(氧合指数(PaO2/FiO2)氧输送量(氧输送量(DO2)按经验设定按经验设定 影像学资料影像学资料 结合影像资料调节结合影像资料调节PEEP双下肺渗出为主双下肺渗出为主 P PV V曲线的斜率较正常下曲线的斜率较正常下降较少,降较少,LIPLIP位置较低或位置较低或者不明显。者不明显。过高的过高的PEEPPEEP很容易使上肺很容

8、易使上肺区正常肺泡过度扩张。区正常肺泡过度扩张。从从5 cmH5 cmH2 2O O开始,结合血开始,结合血气,按气,按2 23 cmH3 cmH2 2O O步阀逐步阀逐渐上调,不超过渐上调,不超过12 cmH12 cmH2 2O O。双肺呈弥漫性病变双肺呈弥漫性病变P PV V曲线的斜率较正常下曲线的斜率较正常下降明显,降明显,LIPLIP和和UIPUIP均较明均较明显。显。给予较高水平的给予较高水平的PEEPPEEP不会不会使肺泡产生明显的过度扩使肺泡产生明显的过度扩张。张。从较高从较高PEEPPEEP水平起步水平起步(10(10 cmHcmH2 2O)O),结合血气,按,结合血气,按5c

9、mH5cmH2 2O O的步阀逐渐上调,的步阀逐渐上调,可达可达20cmH20cmH2 2O O甚至更高。甚至更高。肺保护通气策略的临床研究肺保护通气策略的临床研究 AmatoAmato等等 (19981998)-N Engl J Med,1998,338:347-354-N Engl J Med,1998,338:347-354 BrocchardBrocchard等等 (19981998)-Am J Respir Crit Care Med,1998,158:1831-1838-Am J Respir Crit Care Med,1998,158:1831-1838 BrowerBrowe

10、r等等 (19991999)-Crit Care Med,1999,27:1492-1498-Crit Care Med,1999,27:1492-1498 StewartStewart等等 (19981998)-N Engl J Med,1998,338:355-361-N Engl J Med,1998,338:355-361 NIH-ARDSnet NIH-ARDSnet (20002000)-N Engl J Med,2000,342:1301-1308-N Engl J Med,2000,342:1301-1308 研究病例选择研究病例选择5311652120861010020030

11、0400500600700800900AmatoBrocchardBrowerStewartARDSnet研究结果:死亡率研究结果:死亡率(%)45714538504650473139.8020406080AmatoBrocchardBrowerStewartARDS NetworkVT*气道压气道压0510152025303540day1day3day5low VTlarge VTPEEP012345678910day1day3day5low VTlarge VTPaCO2202530354045day1day3day5low VTlarge VT氧合指数(氧合指数(PaO2/FiO2)10

12、0110120130140150160170180day1day3day5low VTlarge VTRichard JC,et al.AJRCCM.2001(163):1609-1613.Crotti S,et al.AJRCCM 2001(164):131140Crotti S,et al.AJRCCM 2001(164):131140Crotti S,et al.AJRCCM 2001(164):131140肺保护通气策略的临床研究肺保护通气策略的临床研究 高高PEEPPEEPRM RM(ALVEOLI ALVEOLI)研究设计研究设计:随机前瞻对照:随机前瞻对照RCTRCT样本数:样本

13、数:750750对照组:小对照组:小VTVT常规常规PEEPPEEP高高FiO2FiO2研究组:小研究组:小VTVT高高PEEPPEEPRM+RM+低低FiO2FiO2 RMRM实施方法实施方法:CPAPCPAP模式时调节压力至模式时调节压力至404045cmH45cmH2 2O O,持续,持续40404545秒,每天秒,每天RMRM不多于不多于4 4次次预期研究目标预期研究目标 平台压和氧合指标在两组基本一致平台压和氧合指标在两组基本一致 降低死亡率降低死亡率1010Barbas et al.Am J Respir Crit Care Med;2002,A218肺保护性通气策略存在的问题肺保

14、护性通气策略存在的问题 限压使肺泡不能充分开放限压使肺泡不能充分开放 吸性性肺不张吸性性肺不张 肺泡通气量降低肺泡通气量降低 在重症患者难以保证有效的氧合和通气在重症患者难以保证有效的氧合和通气 常规常规PEEP不能使肺泡维持在理想的开放状态不能使肺泡维持在理想的开放状态 高高PEEP具有潜在地加重肺损伤的危险具有潜在地加重肺损伤的危险 加重肺损伤,不能保证满意的氧合加重肺损伤,不能保证满意的氧合Laplace公式P:肺泡开放压 T:肺泡表面张力 R:肺泡直径P=2T/ROpen lung and Keep Lung Open肺泡复张的概念肺泡复张的概念 肺泡复张(肺泡复张(lung lung

15、 recruitmentrecruitment)是指在机械通气过程中,)是指在机械通气过程中,间断地给予高于常规平均气道压的压力并维持一定的时间断地给予高于常规平均气道压的压力并维持一定的时间间(一般不超过一般不超过2 2分钟分钟),从而使更多的萎陷肺泡得以复张,从而使更多的萎陷肺泡得以复张,之后再给予一定水平的之后再给予一定水平的PEEPPEEP使重新复张的肺泡维持在开使重新复张的肺泡维持在开放、稳定的状态。放、稳定的状态。肺泡复张临床意义肺泡复张临床意义 改善氧合改善氧合 减少肺损伤减少肺损伤 改善肺顺应性改善肺顺应性RM ALI50100150200250300RM 05153060(m

16、 i n)PaO 2(m m H g)HFOV+RMCM V+RMRM的重复使用的重复使用RM的使用次数:于第的使用次数:于第0h、1h、2h和和3h各使用各使用RM1次次 RM RM RM RM 健康 基础损伤(0h)1h 2h 3h 4h 流流 程程 图图 RM PaO220701201702202703201h2h3h4hPaO 2(m m H g)HFOVCMVHFOV+RMCMV+RM0100200300400500600700800TNF-(ng/dl)H FO VCM VH FO V+RMCM V+RMRMTNF0102030405060(*106/L)HFOVCMVHFOV+RMCMV+RMRM1.51.82.12.42.733.3(m l/cm H 2O)RMHFOV+RMCMV+RMHEALTHYALI-CMVALI-HFOVHFOV+RMV CMV+RM肺泡复张方法肺泡复张方法肺泡复张手法(肺泡复张手法(RMRM)叹气(叹气(sighsigh)CPAPCPAPPCV+PEEPPCV+PEEP 俯卧位通气 自主呼吸 高频通气RM存在的问题与研究方向存在的问题与研究方

展开阅读全文
相关资源
猜你喜欢
相关搜索

当前位置:首页 > 医学/心理学 > 重症医学

copyright@ 2008-2023 1wenmi网站版权所有

经营许可证编号:宁ICP备2022001189号-1

本站为文档C2C交易模式,即用户上传的文档直接被用户下载,本站只是中间服务平台,本站所有文档下载所得的收益归上传人(含作者)所有。第壹文秘仅提供信息存储空间,仅对用户上传内容的表现方式做保护处理,对上载内容本身不做任何修改或编辑。若文档所含内容侵犯了您的版权或隐私,请立即通知第壹文秘网,我们立即给予删除!