lcx近段病变;LAD分叉.docx

上传人:p** 文档编号:825030 上传时间:2024-03-15 格式:DOCX 页数:8 大小:173.53KB
下载 相关 举报
lcx近段病变;LAD分叉.docx_第1页
第1页 / 共8页
lcx近段病变;LAD分叉.docx_第2页
第2页 / 共8页
lcx近段病变;LAD分叉.docx_第3页
第3页 / 共8页
lcx近段病变;LAD分叉.docx_第4页
第4页 / 共8页
lcx近段病变;LAD分叉.docx_第5页
第5页 / 共8页
lcx近段病变;LAD分叉.docx_第6页
第6页 / 共8页
lcx近段病变;LAD分叉.docx_第7页
第7页 / 共8页
lcx近段病变;LAD分叉.docx_第8页
第8页 / 共8页
亲,该文档总共8页,全部预览完了,如果喜欢就下载吧!
资源描述

《lcx近段病变;LAD分叉.docx》由会员分享,可在线阅读,更多相关《lcx近段病变;LAD分叉.docx(8页珍藏版)》请在第壹文秘上搜索。

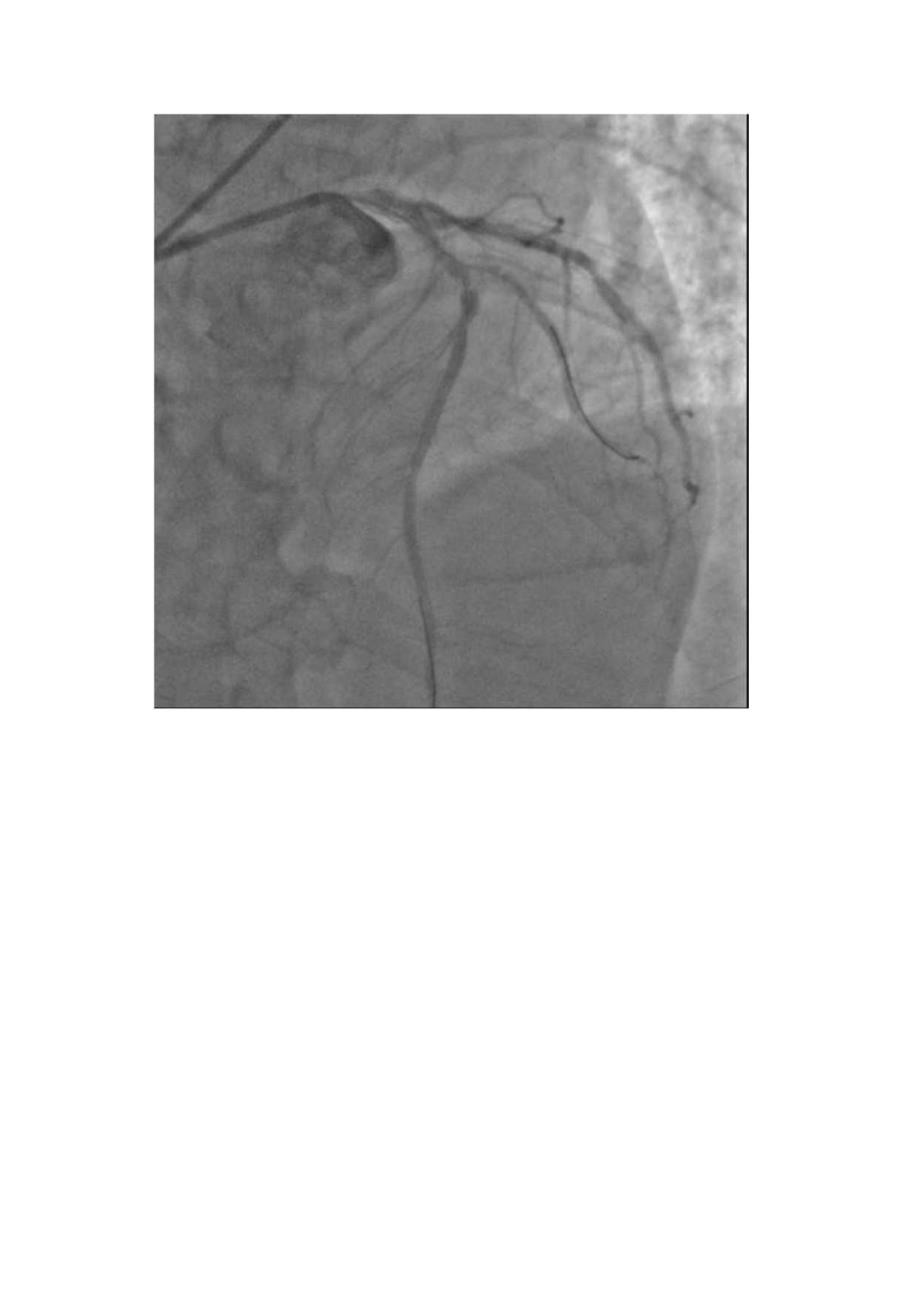
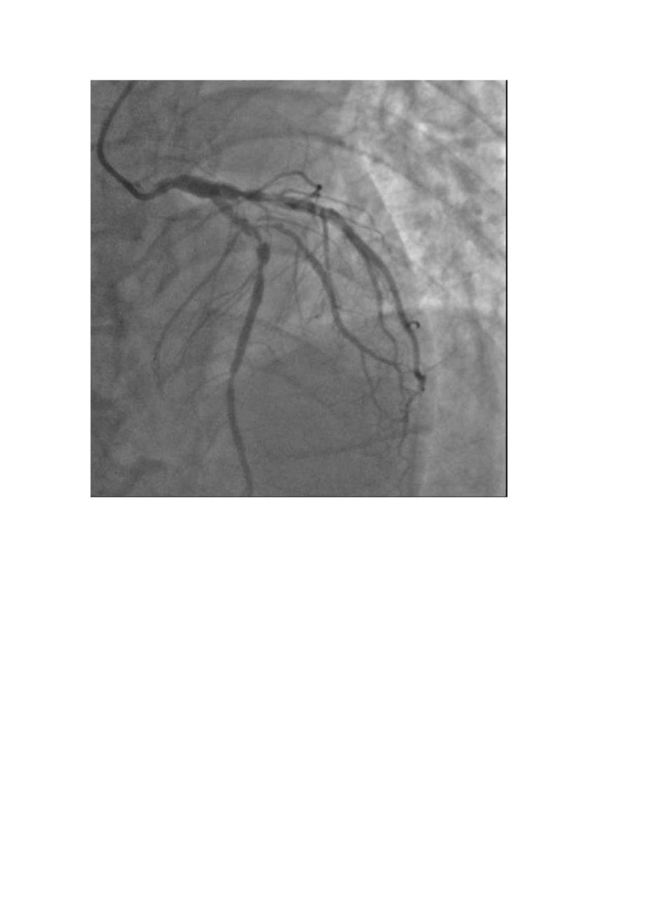
1、病史摘要:1.患者,男,66岁。2 .主诉:一周前突发胸痛8小时3 .查体:神志清,呼吸平稳,查体合作,应答切题。全身皮肤粘膜无黄染、皮疹、出血点。浅表淋巴结未及肿大。双瞳孔等大等圆,对光反射(+)。唇无绡。颈软,气管居中,颈静脉无怒张,甲状腺无肿大。两肺呼吸音清,未及干湿罗音。心前区无异常隆起,心率70次/分,律齐,心音可,未及额外心音,各瓣膜区未及病理性杂音,未及心包摩擦音。腹平软,无压痛、反跳痛及肌卫,肝脾肋下未及,移动性浊音(一),肠鸣音正常。双下肢无浮肿。神经系统(一)oBP12580mmHgo4 .辅检:突发胸痛8小时20130605新华医院崇明分院查心电图提示:窦律,异常Q波(V

2、I呈QS型,V2/V3呈qRS型)心肌损伤标志物:肌红蛋白500ngml,CK-MB35.8ngml,肌钙蛋白4.54ngml;48小时主治医师诊断:初步诊断:急性前间壁心肌梗死,killipI级初步诊断:急性前间壁心肌梗死,killipI级1.M:开口及近段狭窄60LAD:近中段弥漫性长病变伴钙化,最重狭窄95%,第一对角支开口及近段钙化伴最重狭窄85%:LCX:近中段弥漫性长病变,最重狭窄90%,远段狭窄65%,RCA:近中段长病变,最重狭窄80%,远段狭窄60%。目前诊断“冠心病,三支病变”,建议外科搭桥术拒绝,接受分次PCl术。介入治疗过程:对LAD病变血管行PCh经鞘管插入7FEBU

3、3.5导引导管,经导管送入2Runthrough钢丝通过LAD至LAD及第一对角支远端,沿钢丝送入Ryujin2.0*15mm球囊至DI狭窄病变处,分别以4-6atm5秒扩张1次。退出球囊,沿钢丝送入SPrinterLegend2.5*15mm球囊至LAD近中段狭窄病变处,分别以8T4atm5秒扩张,复查造影示LAD近中段扩张欠满意,再取SeOrefIeX2.5*1Omnl球囊于LAD近中段狭窄钙化病变处,以12T8atm*5秒扩张,取3.5*18mmExcel,3.5*18mmExcel球囊支架至狭窄病变处,以1012atml0秒扩张释放支架,取Runthrough重置Dl导丝后,再用Sprinterl.5*15mm及CT02.5*IOmm于Dl以4-6atm*5秒扩张,再取DUraStar3.5*1OnIm高压球囊LAD支架内及支架连接处以14T8atm5秒后扩张,再造影未见残余狭窄。退出导管导丝,拔除动脉鞘管,无菌纱布覆盖,安返病房

展开阅读全文
相关资源
猜你喜欢
相关搜索

当前位置:首页 > 医学/心理学 > 口腔科学

copyright@ 2008-2023 1wenmi网站版权所有

经营许可证编号:宁ICP备2022001189号-1

本站为文档C2C交易模式,即用户上传的文档直接被用户下载,本站只是中间服务平台,本站所有文档下载所得的收益归上传人(含作者)所有。第壹文秘仅提供信息存储空间,仅对用户上传内容的表现方式做保护处理,对上载内容本身不做任何修改或编辑。若文档所含内容侵犯了您的版权或隐私,请立即通知第壹文秘网,我们立即给予删除!